Formulation Supplied at 0.5 mg/ml in Tris saline, 0.02% sodium azide, pH7.3 with 0.5% bovine serum albumin.
| |
Unit Size 100 µg | |
Storage Instructions Aliquot and store at -20°C. Minimize freezing and thawing. | |
Synonym / Alias Names ubiquitin-conjugating enzyme UBC3B|ubiquitin-conjugating enzyme E2R 2|MGC10481|FLJ20419|CDC34B|UBC3B|UBE2R2 | |
Usage Summary Immunoelectron microscopy: This product stained chromatoid bodies in Rat spermatids. | |
Accession ID NP_060281 | |
Blocking Peptide EBP05752 | |
Immunogen Peptide with sequence AQQQMTSSQKALM-C, from the N Terminus of the protein sequence according to NP_060281. | |
Peptide Sequence AQQQMTSSQKALM-C | |
Purification Method Purified from goat serum by ammonium sulphate precipitation followed by antigen affinity chromatography using the immunizing peptide. | |
Shipping Instructions Refrigerated | |
Predicted Species Human, Mouse, Rat | |
Reactive Species Human, Rat | |
Human Gene ID 54926 | |
Mouse Gene ID 67615 | |
Product Grade ![]() | |
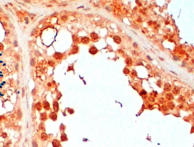
IHC Results In paraffin embedded Human Testis shows textured nuclear staining of the primary spermatocytes . Recommended concentration, 2-4µg/ml. | |
ELISA Detection Limit Antibody detection limit dilution 1:4000. | |
Western Blot No signal obtained yet but low background observed in Human Testis and U937 lysates at up to 1µg/ml. We would appreciate any feedback from people in the field - have any results been reported with other antibodies/lysates? | |
Application Type Pep-ELISA, IEM, IHC |
Goat Anti-UBC3B Antibody
$431.00
| SKU | Unit Size | Price |
|---|---|---|
Select a unit size:
Documents |

