Formulation Supplied at 0.5 mg/ml in Tris saline, 0.02% sodium azide, pH7.3 with 0.5% bovine serum albumin.
| |
Unit Size 100 µg | |
Storage Instructions Aliquot and store at -20°C. Minimize freezing and thawing. | |
Synonym / Alias Names serine threonine kinase 35 long form|OTTHUMP00000030006|STK35L1|CLIK1|CLP-36 interacting kinase|serine/threonine kinase 35|bA550O8.2 CLIK1|bA550O8.2|Clik1|STK35 | |
Usage Summary Immunofluorescence: Strong expression of the protein seen in the nuclei of U2OS cells. Recommended concentration: 10µg/ml.
Flow Cytometry: Flow cytometric analysis of HEK293 cells. Recommended concentration: 10ug/ml. | |
Accession ID NP_543026.2 | |
Blocking Peptide EBP06263 | |
Immunogen Peptide with sequence ELETRMDQVTCAA, from the C Terminus of the protein sequence according to NP_543026.2. | |
Peptide Sequence ELETRMDQVTCAA | |
Purification Method Purified from goat serum by ammonium sulphate precipitation followed by antigen affinity chromatography using the immunizing peptide. | |
Shipping Instructions Refrigerated | |
Predicted Species Human, Mouse, Rat, Dog, Pig, Cow | |
Reactive Species Human, Mouse, Pig | |
Human Gene ID 140901 | |
Mouse Gene ID 67333 | |
Product Grade ![]() | |
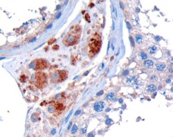
IHC Results In paraffin embedded Human Testis shows granular cytoplasmic staining of Leydig cells. Recommended concentration: 10µg/ml. | |
ELISA Detection Limit Antibody detection limit dilution 1:16000. | |
Western Blot Approx 55kDa band observed in Human Breast cancer and in Mouse and Pig Testis lysates, and approx. 58kDa in nuclear lysates of cell line HEK293 (calculated MW of 58.1kDa according to Human NP_543026.2, 59.5kDa according to Mouse NP_899085.3 and 59.2kDa according to XP_005672850.1 Pig XP_005672850.1). Recommended concentration: 1-3µg/ml. Primary incubation 1 hour at room temperature. This product has been successfully used in WB on Human: Goyal P et al, PLoS One. 2009 Sep 16;4(9):e6981. PMID: 19756140. | |
Application Type Pep-ELISA, WB, IHC, IF, FC |
Goat Anti-Clik1 / STK35 Antibody
$431.00
| SKU | Unit Size | Price |
|---|---|---|
Select a unit size:
Selected References [{"pmid": 19756140, "intro": "This antibody has been successfully used in WB on Human:", "title": "Identifying and characterizing a novel protein kinase STK35L1 and deciphering its orthologs and close-homologs in vertebrates.", "author": "Goyal P, Behring A, Kumar A, Siess W.", "journal": "PLoS One. 2009 Sep 16;4(9):e6981."}] |
Documents |





