Formulation Supplied at 0.5 mg/ml in Tris saline, 0.02% sodium azide, pH7.3 with 0.5% bovine serum albumin.
| |
Unit Size 100 µg | |
Storage Instructions Aliquot and store at -20°C. Minimize freezing and thawing. | |
Synonym / Alias Names ATP-binding cassette, sub-family A, member 9|ATP-binding cassette A9|MGC75415|EST640918|DKFZp686F2450|ATP-binding cassette, sub-family A (ABC1), member 9|ABCA9 | |
Usage Summary Flow Cytometry: Flow cytometric analysis of HEK293 cells. Recommended concentration: 10ug/ml. | |
Accession ID NP_525022.2 | |
Blocking Peptide EBP08619 | |
Immunogen Peptide with sequence C-QRVVQELEMENIQD, from the internal region of the protein sequence according to NP_525022.2. | |
Peptide Sequence C-QRVVQELEMENIQD | |
Purification Method Purified from goat serum by ammonium sulphate precipitation followed by antigen affinity chromatography using the immunizing peptide. | |
Shipping Instructions Refrigerated | |
Predicted Species Human | |
Reactive Species Human | |
Human Gene ID 10350 | |
Product Grade ![]() | |
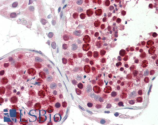
IHC Results Paraffin embedded Human Testis. Recommended concentration: 5µg/ml. | |
ELISA Detection Limit Antibody detection limit dilution 1:128000. | |
Application Type Pep-ELISA, FC, IHC |
Goat Anti-ABCA9 Antibody
$431.00
| SKU | Unit Size | Price |
|---|---|---|
Select a unit size:
Documents |


