Formulation Supplied at 0.5 mg/ml in Tris saline, 0.02% sodium azide, pH7.3 with 0.5% bovine serum albumin.
| |
Unit Size 100 µg | |
Storage Instructions Aliquot and store at -20°C. Minimize freezing and thawing. | |
Synonym / Alias Names ABCD4|ATP-binding cassette, sub-family D (ALD), member 4|ABC41|EST352188|P70R|P79R|PMP69|PXMP1L|ATP-binding cassette, sub-family D, member 4|peroxisomal membrane protein 1-like | |
Accession ID NP_005041.1 | |
Blocking Peptide EBP08711 | |
Immunogen Peptide with sequence C-RDDIDNPDQRISQD, from the internal region of the protein sequence according to NP_005041.1. | |
Product Comments Reported variants represent identical protein: NP_064719.1 NP_064731.1 NP_064720.1 NP_064730.1 | |
Peptide Sequence C-RDDIDNPDQRISQD | |
Purification Method Purified from goat serum by ammonium sulphate precipitation followed by antigen affinity chromatography using the immunizing peptide. | |
Shipping Instructions Refrigerated | |
Predicted Species Human, Mouse, Rat, Dog | |
Reactive Species Human | |
Human Gene ID 5826 | |
Mouse Gene ID 19300 | |
Rat Gene ID 299196 | |
Product Grade ![]() | |
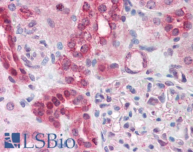
IHC Results Paraffin embedded Human Testis and Kidney. Recommended concentration: 3.75µg/ml. | |
ELISA Detection Limit Antibody detection limit dilution 1:8000. | |
Western Blot Approx 70kDa band observed in lysates of cell lines Jurkat and MOLT4 (calculated MW of 68.6kDa according to NP_005041.1). Recommended concentration: 0.3-1µg/ml. Primary incubation was 1 hour. | |
Application Type Pep-ELISA, WB, IHC |
Goat Anti-ABCD4 Antibody
$431.00
| SKU | Unit Size | Price |
|---|---|---|
Select a unit size:
Documents |



