Formulation Supplied at 0.5 mg/ml in Tris saline, 0.02% sodium azide, pH7.3 with 0.5% bovine serum albumin.
| |
Unit Size 100 µg | |
Storage Instructions Aliquot and store at -20°C. Minimize freezing and thawing. | |
Synonym / Alias Names Angiotensin I Converting Enzyme (peptidyl dipeptidase A)|Angiotensin converting enzyme like protein antibody|Angiotensin converting enzyme homolog antibody|Angiotensin converting enzyme 2 antibody|ACEH antibody|ACE2_HUMAN antibody|ACE2 antibody|ACE-related carboxypeptidase antibody|ACE related carboxypeptidase antibody|ACE 2 antibody | |
Accession ID NP_001358344.1 | |
Blocking Peptide EBP13085 | |
Immunogen Peptide with sequence PROPRIETARY-ACE2, from the C Terminus of the protein sequence according to NP_001358344.1. | |
Peptide Sequence PROPRIETARY-ACE2 | |
Purification Method Purified from goat serum by ammonium sulphate precipitation followed by antigen affinity chromatography using the immunizing peptide. | |
Shipping Instructions Refrigerated | |
Predicted Species Human | |
Reactive Species Human | |
Human Gene ID 59272 | |
Product Grade ![]() | |
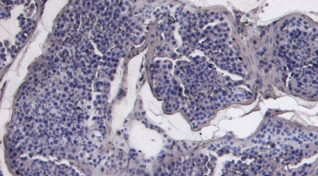
IHC Results Paraffin embedded Human Testis. Recommended concentration: 8µg/ml. A customer reported weak staining on paraffin embedded Human Kidney, concentration 5-6ug/ml. | |
ELISA Detection Limit Antibody detection limit dilution 1:8000. | |
Western Blot Approx 140kDa band observed in Human Kidney lysates (calculated MW of 92.4kDa according to NP_001358344.1).The observed molecular weight was successfully blocked by incubation with the immunising peptide, and represents glycosylateion of ACE2, as routinely observed by other sources. Recommended concentration: 0.03-1ug/ml. Primary incubation 1 hour at room temperature | |
Application Type Pep-ELISA, WB, IHC |
Goat Anti-ACE2 (C Terminal) Antibody
$431.00
| SKU | Unit Size | Price |
|---|---|---|
Select a unit size:



