Formulation Supplied at 0.5 mg/ml in Tris saline, 0.02% sodium azide, pH7.3 with 0.5% bovine serum albumin.
| |
Unit Size 100 µg | |
Storage Instructions Aliquot and store at -20°C. Minimize freezing and thawing. | |
Synonym / Alias Names proacrosin|preproacrosin|acrosin light and heavy chain prepropeptide|acrosin|ACR | |
Accession ID NP_001088.2 | |
Blocking Peptide EBP12585 | |
Immunogen Peptide with sequence KDNATCDGPCGLR, from the internal region of the protein sequence according to NP_001088.2. | |
Peptide Sequence KDNATCDGPCGLR | |
Purification Method Purified from goat serum by ammonium sulphate precipitation followed by antigen affinity chromatography using the immunizing peptide. | |
Shipping Instructions Refrigerated | |
Predicted Species Human | |
Reactive Species Human | |
Human Gene ID 49 | |
Product Grade ![]() | |
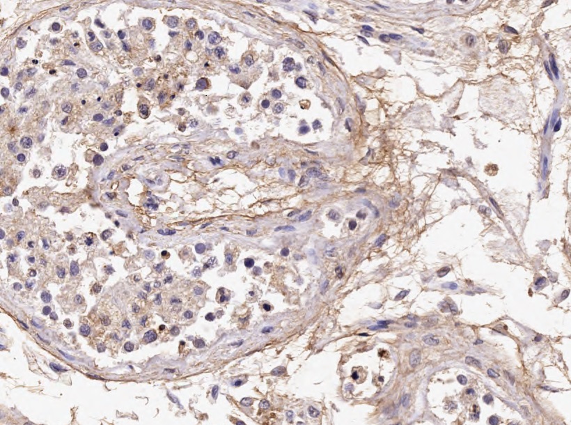
IHC Results Paraffin embedded Human Testis. Recommended concentration: 4µg/ml. | |
ELISA Detection Limit Antibody detection limit dilution 1:2000. | |
Western Blot Preliminary experiments in Human Testis lysates gave no specific signal but low background (at antibody concentration up to 2µg/ml). | |
Application Type Pep-ELISA, IHC |
Goat Anti-Acrosin light chain Antibody
$431.00
| SKU | Unit Size | Price |
|---|---|---|
Select a unit size:
Documents |


