Formulation Supplied at 0.5 mg/ml in Tris saline, 0.02% sodium azide, pH7.3 with 0.5% bovine serum albumin.
| |
Unit Size 100 µg | |
Storage Instructions Aliquot and store at -20°C. Minimize freezing and thawing. | |
Synonym / Alias Names long-chain fatty acid coenzyme A ligase 5|long-chain acyl-CoA synthetase 5|fatty-acid-Coenzyme A ligase, long-chain 5|FACL5|ACS5|ACS2|HGNC:16526|acyl-CoA synthetase long-chain family member 5|ACSL5 | |
Accession ID NP_057318.2; NP_976313.1; NP_976314.1 | |
Blocking Peptide EBP07250 | |
Immunogen Peptide with sequence C-RTQIDSLYEHIQD, from the C Terminus of the protein sequence according to NP_057318.2; NP_976313.1; NP_976314.1. | |
Product Comments This antibody is expected to recognise isoform a (NP_057318.2) and isoform b (NP_976313.1 and NP_976314.1). | |
Peptide Sequence C-RTQIDSLYEHIQD | |
Purification Method Purified from goat serum by ammonium sulphate precipitation followed by antigen affinity chromatography using the immunizing peptide. | |
Shipping Instructions Refrigerated | |
Predicted Species Human | |
Reactive Species Human | |
Human Gene ID 51703 | |
Product Grade ![]() | |
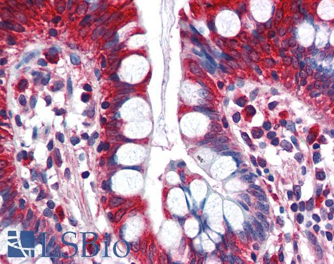
IHC Results Paraffin embedded Human Small Intestine. Recommended concentration: 5µg/ml. | |
ELISA Detection Limit Antibody detection limit dilution 1:16000. | |
Western Blot Approx 75kDa band observed in Human Spleen lysates (calculated MW of 76.0kDa according to NP_976313.1and NP_976314.1). Recommended concentration: 1-3µg/ml. | |
Application Type Pep-ELISA, WB, IHC |
Goat Anti-ACSL5 Antibody
$431.00
| SKU | Unit Size | Price |
|---|---|---|
Select a unit size:
Documents |


