Formulation Supplied at 0.5 mg/ml in Tris saline, 0.02% sodium azide, pH7.3 with 0.5% bovine serum albumin.
| |
Unit Size 100 µg | |
Storage Instructions Aliquot and store at -20°C. Minimize freezing and thawing. | |
Synonym / Alias Names ACYP1|acylphosphatase 1, erythrocyte (common) type|ACYPE|erythrocyte acylphosphatase 1 | |
Accession ID NP_001098.1 | |
Blocking Peptide EBP07583 | |
Immunogen Peptide with sequence C-PKSHIDKANFNNEK, from the internal region of the protein sequence according to NP_001098.1. | |
Product Comments This antibody is expected to recognize isoform a (NP_001098.1) only. | |
Peptide Sequence C-PKSHIDKANFNNEK | |
Purification Method Purified from goat serum by ammonium sulphate precipitation followed by antigen affinity chromatography using the immunizing peptide. | |
Shipping Instructions Refrigerated | |
Predicted Species Human, Mouse, Rat | |
Reactive Species Human | |
Human Gene ID 97 | |
Mouse Gene ID 66204 | |
Product Grade ![]() | |
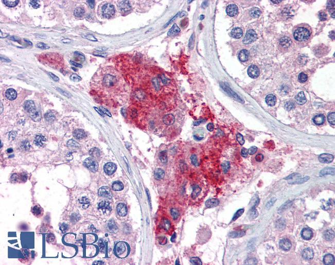
IHC Results Paraffin embedded Human Testis. Recommended concentration: 3.75µg/ml. | |
ELISA Detection Limit Antibody detection limit dilution 1:128000. | |
Western Blot Approx 15kDa band observed in Human Testis lysates (calculated MW of 11.3kDa according to NP_001098.1). Recommended concentration: 0.01-0.03µg/ml. Primary incubation was 1 hour. Preliminary testing was unsuccessful on Mouse and Rat Testis for this particular batch. | |
Application Type Pep-ELISA, WB, IHC |
Goat Anti-ACYP1 (isoform a) Antibody
$431.00
| SKU | Unit Size | Price |
|---|---|---|
Select a unit size:
Documents |


