Formulation Supplied at 0.5 mg/ml in Tris saline, 0.02% sodium azide, pH7.3 with 0.5% bovine serum albumin.
| |
Unit Size 100 µg | |
Storage Instructions Aliquot and store at -20°C. Minimize freezing and thawing. | |
Synonym / Alias Names ADAM metallopeptidase domain 12|RP11-295J3.5|ADAM metallopeptidase domain 12|A disintegrin and metalloproteinase domain 12 (Meltrin-alpha, mouse, homolog of)|meltrin alpha|a disintegrin and metalloproteinase domain 12 (meltrin alpha)|MCMPMltna|MLTNA|MLTN|MCMP|ADAM12 | |
Usage Summary Immunofluorescence: Strong expression of the protein seen in the cytoplasm and plasma membranes of A431 cells. Recommended concentration: 10µg/ml.
Flow Cytometry: Flow cytometric analysis of HeLa cells. Recommended concentration: 10ug/ml. | |
Accession ID NP_003465.3; NP_067673.2 | |
Blocking Peptide EBP06536 | |
Immunogen Peptide with sequence AARPLPVSPARALC, from the N Terminus of the protein sequence according to NP_003465.3; NP_067673.2. | |
Product Comments This antibody is expected to recognise both the longer membrane-bound form of human ADAM12 (NP_003465.3) and the shorter soluble ADAM12 splice isoform (NP_067673.2). This antibody does not cross-react with other ADAMS. | |
Peptide Sequence AARPLPVSPARALC | |
Purification Method Purified from goat serum by ammonium sulphate precipitation followed by antigen affinity chromatography using the immunizing peptide. | |
Shipping Instructions Refrigerated | |
Predicted Species Human | |
Reactive Species Human | |
Human Gene ID 8038 | |
Product Grade ![]() | |
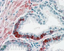
IHC Results In paraffin embedded Human Prostate shows strong cytoplasm staining of a group of secretory epithelial cells. Recommended concentration: 3-5µg/ml. Paraffin embedded Human Placenta. Recommended concentration: 3.75µg/ml. | |
ELISA Detection Limit Antibody detection limit dilution 1:64000. | |
Application Type Pep-ELISA, FC, IF, IHC |
Goat Anti-ADAM12 Antibody
$431.00
| SKU | Unit Size | Price |
|---|---|---|
Select a unit size:
Documents |




