Formulation Supplied at 0.5 mg/ml in Tris saline, 0.02% sodium azide, pH7.3 with 0.5% bovine serum albumin.
| |
Unit Size 100 µg | |
Storage Instructions Aliquot and store at -20°C. Minimize freezing and thawing. | |
Synonym / Alias Names ADAM19|ADAM metallopeptidase domain 19|MADDAM|MLTNB|ADAM 19|a disintegrin and metalloproteinase domain 19 (meltrin beta)|disintegrin and metalloproteinase domain-containing protein 19|meltrin beta|meltrin-beta|metalloprotease and disintegrin dendritic antigen marker | |
Accession ID NP_150377.1 | |
Blocking Peptide EBP12327 | |
Immunogen Peptide with sequence KIQCQSSEARPLESN, from the internal region of the protein sequence according to NP_150377.1. | |
Peptide Sequence KIQCQSSEARPLESN | |
Purification Method Purified from goat serum by ammonium sulphate precipitation followed by antigen affinity chromatography using the immunizing peptide. | |
Shipping Instructions Refrigerated | |
Predicted Species Human, Dog, Pig, Cow | |
Reactive Species Human | |
Human Gene ID 8728 | |
Product Grade ![]() | |
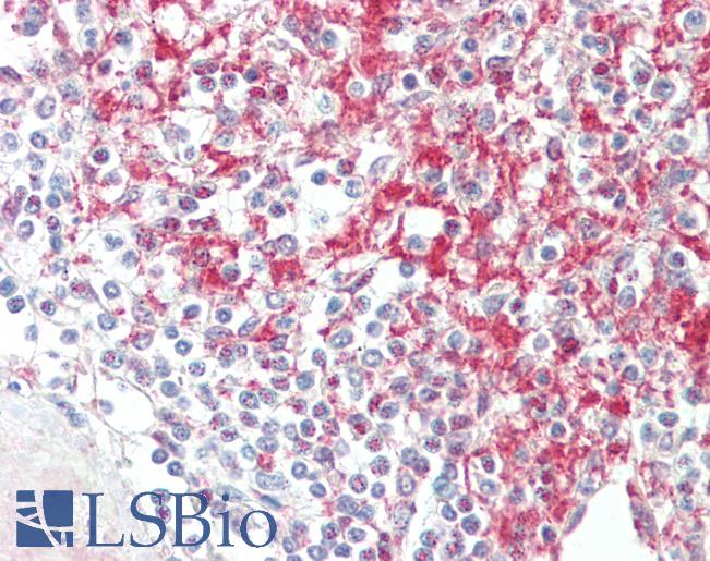
IHC Results Paraffin embedded Human Spleen. Recommended concentration: 5µg/ml. | |
ELISA Detection Limit Antibody detection limit dilution 1:128000. | |
Western Blot Approx 125kDa band observed in Human Spleen lysates (calculated MW of 101kDa according to NP_150377.1). The observed molecular weight corresponds to the glycosylated form. Recommended concentration: 0.1-0.3µg/ml. | |
Application Type Pep-ELISA, WB, IHC |
Goat Anti-ADAM19 Antibody
$431.00
| SKU | Unit Size | Price |
|---|---|---|
Select a unit size:
Documents |


