Formulation Supplied at 0.5 mg/ml in Tris saline, 0.02% sodium azide, pH7.3 with 0.5% bovine serum albumin.
| |
Unit Size 100 µg | |
Storage Instructions Aliquot and store at -20°C. Minimize freezing and thawing. | |
Synonym / Alias Names beta-1-adrenergic receptor|RHR|BETA1AR|B1AR|ADRB1R|adrenergic, beta-1-, receptor|ADRB1 | |
Accession ID NP_000675.1 | |
Blocking Peptide EBP07133 | |
Immunogen Peptide with sequence ESDEARRCYNDPK, from the internal region of the protein sequence according to NP_000675.1. | |
Peptide Sequence ESDEARRCYNDPK | |
Purification Method Purified from goat serum by ammonium sulphate precipitation followed by antigen affinity chromatography using the immunizing peptide. | |
Shipping Instructions Refrigerated | |
Predicted Species Human, Mouse, Rat, Dog | |
Reactive Species Human | |
Human Gene ID 153 | |
Product Grade ![]() | |
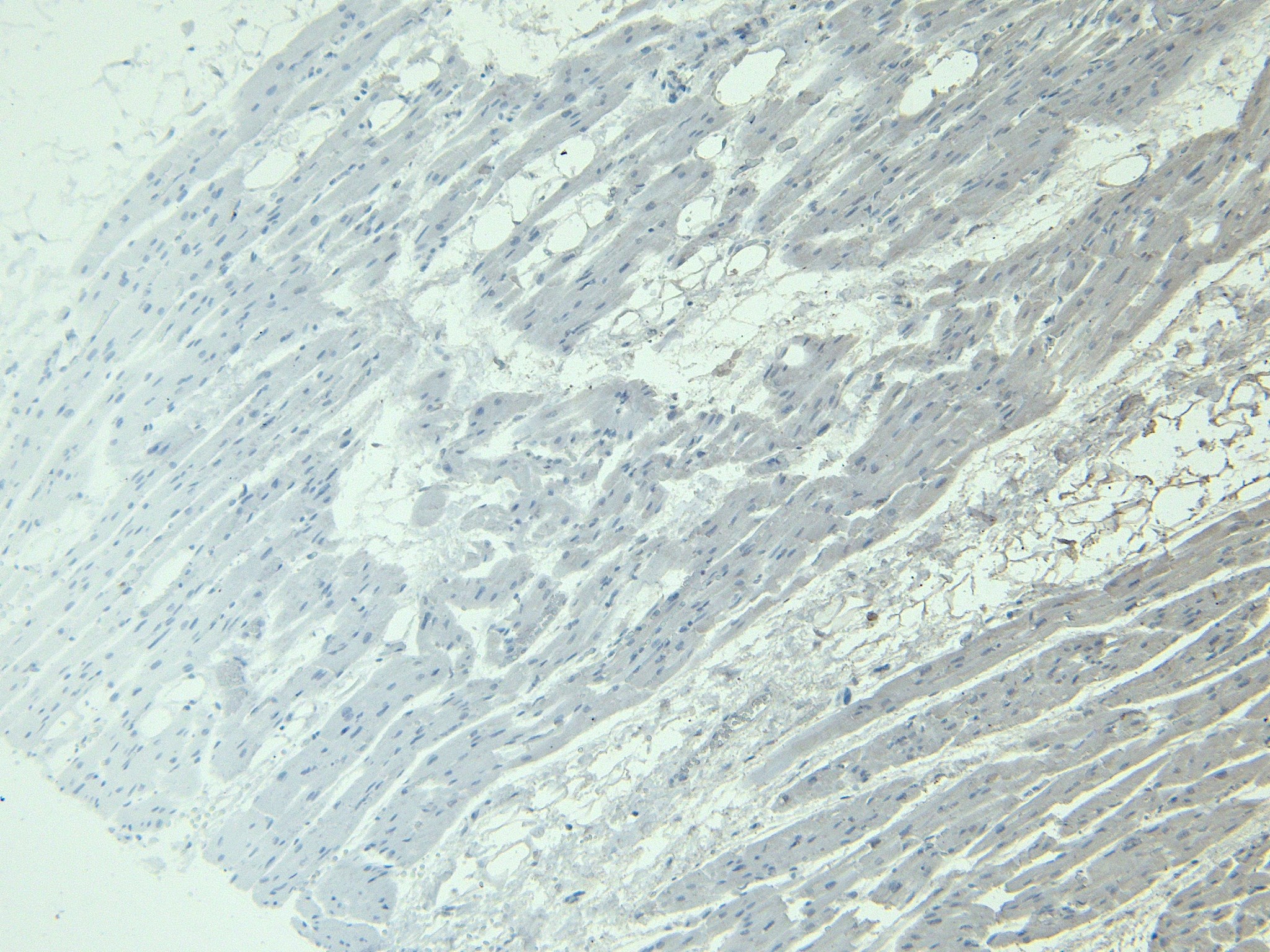
IHC Results Paraffin embedded Human Heart. Recommended concentration: 4µg/ml. | |
ELISA Detection Limit Antibody detection limit dilution 1:4000. | |
Western Blot This antibody is not recommended for use in Western blotting. | |
Application Type Pep-ELISA, IHC |
Goat Anti-ADRB1 Antibody
$431.00
| SKU | Unit Size | Price |
|---|---|---|
Select a unit size:
Selected References [{"pmid": 29425252, "intro": "This antibody (previous batch) has been successfully used in the following paper:", "title": "Difference between beta1-adrenoceptor autoantibodies of human and animal origin-Limitations detecting beta1-adrenoceptor autoantibodies using peptide based ELISA technology.", "author": "Wenzel K, Schulze-Rothe S, Müller J, Wallukat G, Haberland A.", "journal": "PLoS One. 2018 Feb 9;13(2):e0192615"}, {"pmid": 28795160, "intro": "This antibody (previous batch) has been successfully used in the following paper:", "title": "Performance and in-house validation of a bioassay for the determination of beta1-auto antibodies found in patients with cardiomyopathy.", "author": "Wenzel K, Schulze-Rothe S, Haberland A, Müller J, Wallukat G, Davideit H", "journal": "Heliyon. 2017 Jul 31;3(7): e00362."}, {"pmid": 22850243, "intro": "This antibody (previous batch) has been successfully used for In Vitro Testing of Apheresis Column Functionality in Rat:", "title": "The first aptamer-apheresis column specifically for clearing blood of ?1-receptor autoantibodies.", "author": "Wallukat G, Haberland A, Berg S, Schulz A, Freyse EJ, Dahmen C, Kage A, Dandel M, Vetter R, Salzsieder E, Kreutz R, Schimke I.", "journal": "Circ J. 2012;76(10):2449-55."}, {"pmid": 27375076, "intro": "This antibody (previous batch) has been successfully used in the following paper:", "title": "Aptamer BC 007 - A broad spectrum neutralizer of pathogenic autoantibodies against G-protein-coupled receptors", "author": "Annekathrin Haberland, Martin Holtzhauer, Alice Schlichtiger, Sabine Bartel, Ingolf Schimke, Johannes Müller, Michael Dandel, Peter B Luppa, Gerd Wallukat", "journal": "Eur J Pharmacol. 2016 Oct 15:789:37-45."}, {"pmid": 21868696, "intro": "This antibody (previous batch) has been successfully used in IP on DNA aptamers in vitro:", "title": "Aptamer neutralization of beta1-adrenoceptor autoantibodies isolated from patients with cardiomyopathies.", "author": "Haberland A, Wallukat G, Dahmen C, Kage A, Schimke I.", "journal": "Circ Res. 2011 Oct 14;109(9):986-92."}, {"pmid": 20117461, "intro": "This antibody (previous batch) has been successfully used in Assay Standardization (beating frequency) of Rat Cardiomyocytes:", "title": "Distinct patterns of autoantibodies against G-protein-coupled receptors in Chagas' cardiomyopathy and megacolon. Their potential impact for early risk assessment in asymptomatic Chagas' patients.", "author": "Wallukat G, Muñoz Saravia SG, Haberland A, Bartel S, Araujo R, Valda G, Duchen D, Diaz Ramirez I, Borges AC, Schimke I.", "journal": "J Am Coll Cardiol. 2010 Feb 2;55(5):463-8."}, {"pmid": 29538413, "intro": "This antibody (previous batch) has been successfully used in Assay Standardization of Rat Cardiomyocytes:", "title": "Functional autoantibodies in patients with different forms of dementia", "author": "Gerd Wallukat , Harald Pruss, Johannes Muller , Ingolf Schimke", "journal": "PLoS One. 2018 Mar 14;13(3):e0192778."}, {"pmid": 37474759, "intro": "This antibody (previous batch) has been successfully used in the following paper:", "title": "Cardiac contraction and relaxation are regulated by distinct subcellular cAMP pools.", "author": "Ting-Yu Lin, Quynh N Mai, Hao Zhang, Emily Wilson, Huan-Chieh Chien, Sook Wah Yee, Kathleen M Giacomini, Jeffrey E Olgin, Roshanak Irannejad", "journal": "Nat Chem Biol. 2023 Jul 20."}] |
Documents |


