Formulation Supplied at 0.5 mg/ml in Tris saline, 0.02% sodium azide, pH7.3 with 0.5% bovine serum albumin.
| |
Unit Size 100 µg | |
Storage Instructions Aliquot and store at -20°C. Minimize freezing and thawing. | |
Synonym / Alias Names AES| amino-terminal enhancer of split| AES-1| AES-2| ESP1| GRG| GRG5| TLE5| amino enhancer of split| gp130-associated protein GAM | |
Accession ID NP_945320.1; NP_001121.2; NP_945321.1 | |
Blocking Peptide EBP10957 | |
Immunogen Peptide with sequence SHLPQQLKFTTSD-C, from the N Terminus of the protein sequence according to NP_945320.1; NP_001121.2; NP_945321.1. | |
Product Comments This antibody is expected to recognize all reported isoforms (NP_945320.1; NP_001121.2; NP_945321.1). | |
Peptide Sequence SHLPQQLKFTTSD-C | |
Purification Method Purified from goat serum by ammonium sulphate precipitation followed by antigen affinity chromatography using the immunizing peptide. | |
Shipping Instructions Refrigerated | |
Predicted Species Human, Mouse, Rat | |
Reactive Species Human | |
Human Gene ID 166 | |
Mouse Gene ID 14797 | |
Rat Gene ID 29466 | |
Product Grade ![]() | |
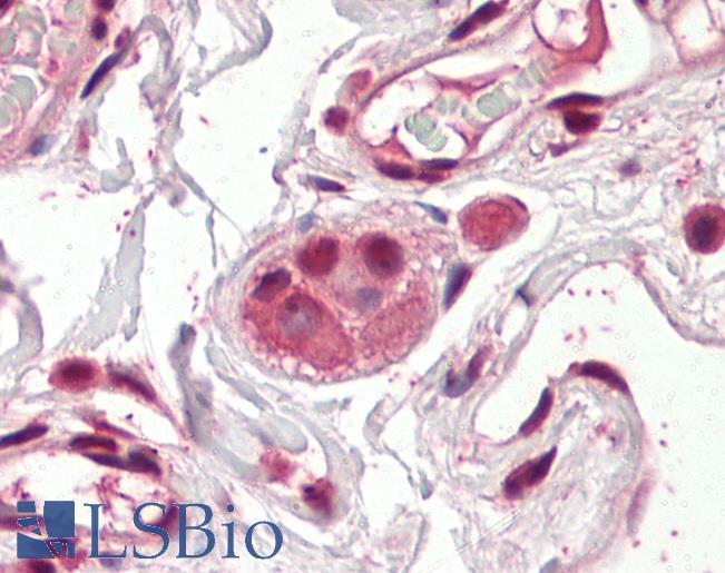
IHC Results Paraffin embedded Human Colon. Recommended concentration: 3.75µg/ml. | |
ELISA Detection Limit Antibody detection limit dilution 1:64000. | |
Western Blot Approx 30kDa band observed in Human Brain (Cerebellum and Cerebral Cortex) lysates (calculated MW of 29.1kDa according to NP_945320.1). Recommended concentration: 0.3-1µg/ml. | |
Application Type Pep-ELISA, WB, IHC |
Goat Anti-AES Antibody
$431.00
| SKU | Unit Size | Price |
|---|---|---|
Select a unit size:
Documents |


