Formulation Supplied at 0.5 mg/ml in Tris saline, 0.02% sodium azide, pH7.3 with 0.5% bovine serum albumin.
| |
Unit Size 100 µg | |
Storage Instructions Aliquot and store at -20°C. Minimize freezing and thawing. | |
Synonym / Alias Names protein G1|IRT1|allograft inflammatory factor-1 splice variant Hara-1|DADB-70P7.8|Daintain|ionized calcium-binding adapter molecule 1|interferon gamma responsive transcript|IRT-1|AIF-1|allograft inflammatory factor 1|IBA1|AIF1 | |
Accession ID NP_116573.1; NP_001614.3 | |
Blocking Peptide EBP05419 | |
Immunogen Peptide with sequence C-TGPPAKKAISELP, from the C Terminus of the protein sequence according to NP_116573.1; NP_001614.3. | |
Product Comments This antibody is expected to recognize isoform 1 (NP_116573.1) and isoform 3 (NP_001614.3). | |
Peptide Sequence C-TGPPAKKAISELP | |
Purification Method Purified from goat serum by ammonium sulphate precipitation followed by antigen affinity chromatography using the immunizing peptide. | |
Shipping Instructions Refrigerated | |
Predicted Species Human, Mouse, Rat, Pig | |
Reactive Species Human, Mouse, Rat | |
Human Gene ID 199 | |
Mouse Gene ID 11629 | |
Rat Gene ID 29427 | |
Product Grade ![]() | |
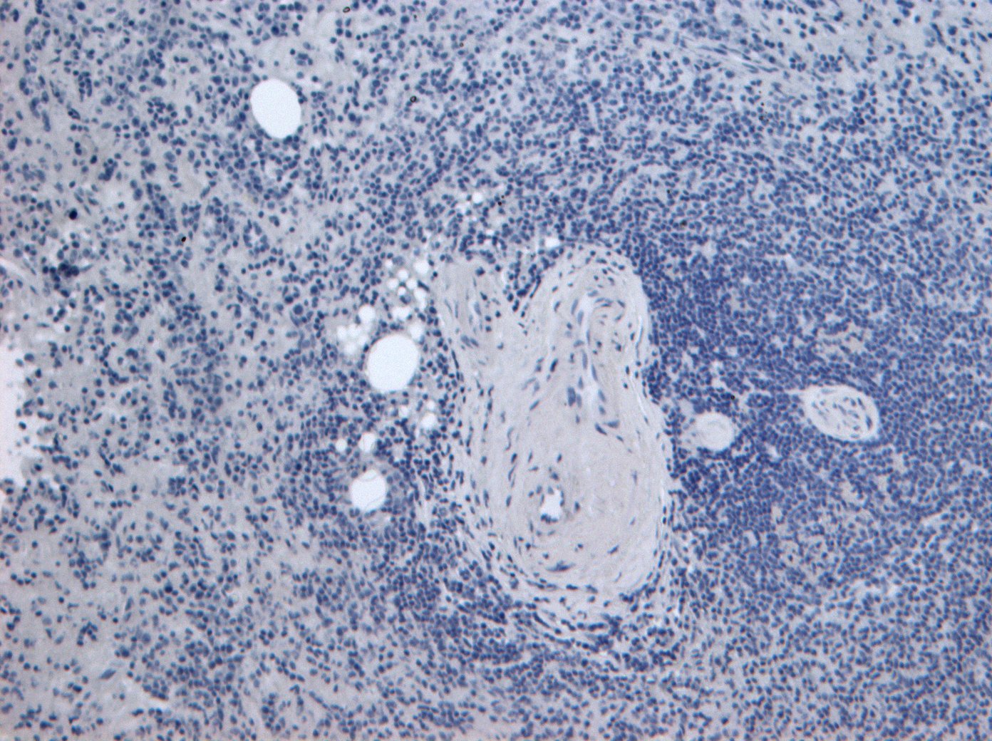
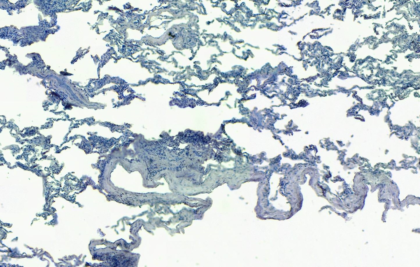
IHC Results Paraffin embedded Human Spleen and Lung. Recommended concentration: 8µg/ml. | |
ELISA Detection Limit Antibody detection limit dilution 1:128000. | |
Western Blot Approx 16kDa band observed in Mouse and Rat Brain lysates (calculated MW of 16.9kDa according to Mouse NP_062340.1 and 16.8kDa according to Rat NP_058892.1) . Recommended concentration: 0.3-1µg/ml. Primary incubation was 1 hour. | |
Application Type Pep-ELISA, WB, IHC |
Goat Anti-AIF1/IBA1 isoform 1 and 3 Antibody
$431.00
| SKU | Unit Size | Price |
|---|---|---|
Select a unit size:
Selected References [{"pmid": 21294954, "intro": "This antibody (previous batch) has been successfully used in IHC on Mouse:", "title": "Bone marrow contributes simultaneously to different neural types in the central nervous system through different mechanisms of plasticity.", "author": "Recio JS, Álvarez-Dolado M, Díaz D, Baltanás FC, Piquer-Gil M, Alonso JR, Weruaga E.", "journal": "Cell Transplant. 2011;20(8):1179-92."}] |
Documents |





