Formulation Supplied at 0.5 mg/ml in Tris saline, 0.02% sodium azide, pH7.3 with 0.5% bovine serum albumin.
| |
Unit Size 100 µg | |
Storage Instructions Aliquot and store at -20°C. Minimize freezing and thawing. | |
Synonym / Alias Names protein G1|IRT1|allograft inflammatory factor-1 splice variant Hara-1|DADB-70P7.8|Daintain|ionized calcium-binding adapter molecule 1|interferon gamma responsive transcript|IRT-1|AIF-1|allograft inflammatory factor 1|IBA1|AIF1 | |
Accession ID NP_116573.1; NP_001614.3 | |
Blocking Peptide EBP05419-H | |
Immunogen Peptide with sequence C-TGPPAKKAISELP.., from the C Terminus of the protein sequence according to NP_116573.1; NP_001614.3. | |
Product Comments This antibody is expected to recognize isoform 1 (NP_116573.1) and isoform 3 (NP_001614.3). | |
Peptide Sequence C-TGPPAKKAISELP.. | |
Purification Method Purified from goat serum by ammonium sulphate precipitation followed by antigen affinity chromatography using the immunizing peptide. | |
Shipping Instructions Refrigerated | |
Predicted Species Human | |
Reactive Species Human | |
Human Gene ID 199 | |
Product Grade ![]() | |
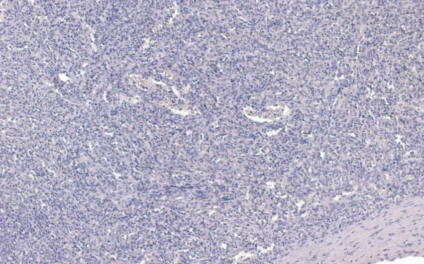
IHC Results Paraffin embedded Human Spleen. Recommended concentration: 4µg/ml. | |
ELISA Detection Limit Antibody detection limit dilution 1:16000. | |
Western Blot Approx. 18kDa band observed in Human Frontal Cortex lysates (calculated MW of 16.7kDa according to NP_001614.3). Recommended concentration: 1-3µg/ml. Primary incubation 1 hour at room temperature. | |
Application Type Pep-ELISA, WB, IHC |
Goat Anti-AIF1/IBA1 isoform 1 and 3 (Human reactivity only) Antibody
$300.00
| SKU | Unit Size | Price |
|---|---|---|
Select a unit size:



