Formulation Supplied at 0.5 mg/ml in Tris saline, 0.02% sodium azide, pH7.3 with 0.5% bovine serum albumin.
| |
Unit Size 100 µg | |
Storage Instructions Aliquot and store at -20°C. Minimize freezing and thawing. | |
Synonym / Alias Names ionized calcium-binding adapter molecule|interferon gamma responsive transcript|Em:AF129756.17|IRT-1|AIF-1|DASS-82G15.2|allograft inflammatory factor 1|IBA1|AIF1 | |
Usage Summary Immunofluorescence: Strong expression of the protein seen in the nucleus and cytoplasm of CaCo-2 and U937 cells. Recommended concentration: 10µg/ml.
Flow Cytometry: Flow cytometric analysis of U937 cells. Recommended concentration: 10ug/ml. | |
Accession ID NP_001614.3 | |
Blocking Peptide EBP07174 | |
Immunogen Peptide with sequence C-NKQFLDDPKYSSDED, from the internal region of the protein sequence according to NP_001614.3. | |
Product Comments This antibody is expected to recognise isoform 3 (NP_001614.3) only. | |
Peptide Sequence C-NKQFLDDPKYSSDED | |
Purification Method Purified from goat serum by ammonium sulphate precipitation followed by antigen affinity chromatography using the immunizing peptide. | |
Shipping Instructions Refrigerated | |
Predicted Species Human, Mouse, Dog | |
Reactive Species Human | |
Human Gene ID 199 | |
Mouse Gene ID 11629 | |
Product Grade ![]() | |
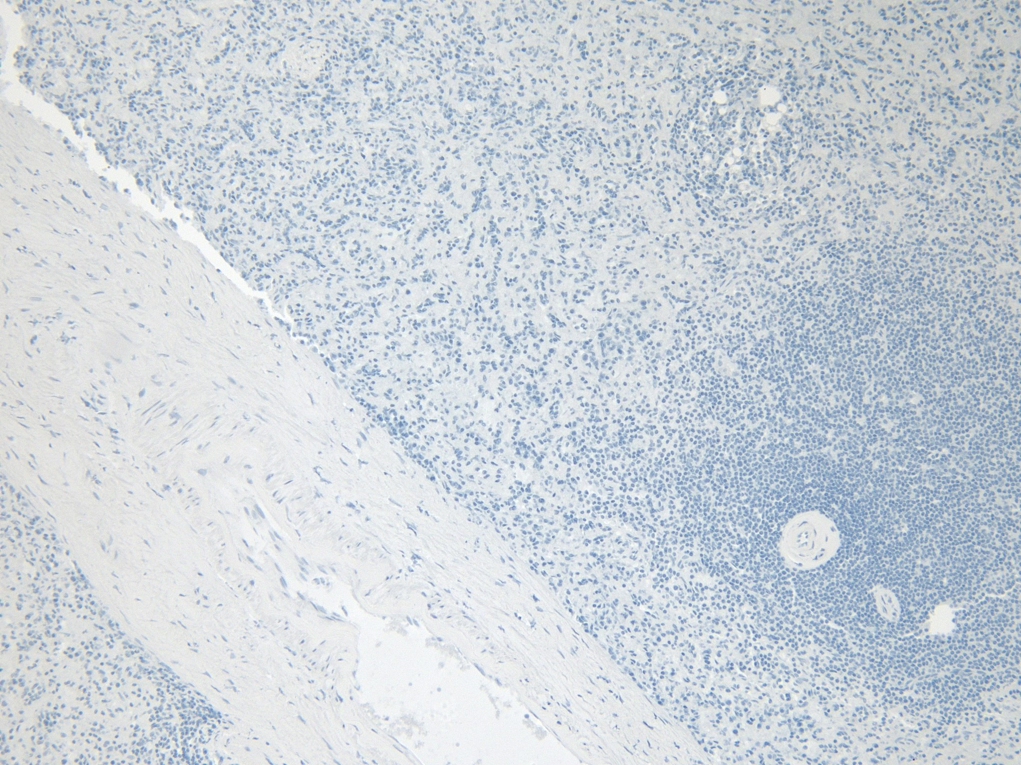
IHC Results Paraffin embedded Human Spleen and Brain (Cortex). Recommended concentration: 5-7µg/ml. | |
ELISA Detection Limit Antibody detection limit dilution 1:128000. | |
Application Type Pep-ELISA, IF, FC, IHC |
Goat Anti-AIF1 / IBA1 (isoform 3) Antibody
$431.00
| SKU | Unit Size | Price |
|---|---|---|
Select a unit size:
Selected References [{"pmid": 22201683, "intro": "This antibody (previous batch) has been successfully used in IHC on Rat:", "title": "Obesity is associated with hypothalamic injury in rodents and humans.", "author": "Joshua P. Thaler, Chun-Xia Yi, Ellen A. Schur, Stephan J. Guyenet, Bang H. Hwang, Marcelo O. Dietrich, Xiaolin Zhao, David A. Sarruf, Vitaly Izgur, Kenneth R. Maravilla, Hong T. Nguyen, Jonathan D. Fischer, Miles E. Matsen, Brent E. Wisse, Gregory J. Morton, Tamas L. Horvath, Denis G. Baskin, Matthias H. Tschöp, and Michael W. Schwartz", "journal": "J Clin Invest. 2012 Jan 3; 122(1): 153-162."}] |
Documents |







