Formulation Supplied at 0.5 mg/ml in Tris saline, 0.02% sodium azide, pH7.3 with 0.5% bovine serum albumin.
| |
Unit Size 100 µg | |
Storage Instructions Aliquot and store at -20°C. Minimize freezing and thawing. | |
Synonym / Alias Names striatal apoptosis-inducing factor|programmed cell death 8 (apoptosis-inducing factor)|apoptosis-inducing factor 1, mitochondrial|PDCD8|COXPD6|COWCK|CMTX4|AIF|apoptosis-inducing factor, mitochondrion-associated, 1|AIFM1 | |
Usage Summary Immunofluorescence: Strong expression of the protein seen in the Mitochondria of HeLa and U2OS cells. Recommended concentration: 10µg/ml. | |
Accession ID NP_004199.1; NP_665811.1; NP_665812.1; NP_001124318.1 | |
Blocking Peptide EBP12622 | |
Immunogen Peptide with sequence C-NEVAKLFNIHED, from the C Terminus of the protein sequence according to NP_004199.1; NP_665811.1; NP_665812.1; NP_001124318.1. | |
Product Comments This antibody is expected to recognize isoform 1 (NP_004199.1), isoform 2 (NP_665811.1), isoform 3 (NP_665812.1) and isoform 4 (NP_001124318.1). | |
Peptide Sequence C-NEVAKLFNIHED | |
Purification Method Purified from goat serum by ammonium sulphate precipitation followed by antigen affinity chromatography using the immunizing peptide. | |
Shipping Instructions Refrigerated | |
Predicted Species Human, Mouse, Rat, Dog, Pig, Cow | |
Reactive Species Human, Mouse, Rat, Pig | |
Human Gene ID 9131 | |
Mouse Gene ID 26926 | |
Rat Gene ID 83533 | |
Product Grade ![]() | |
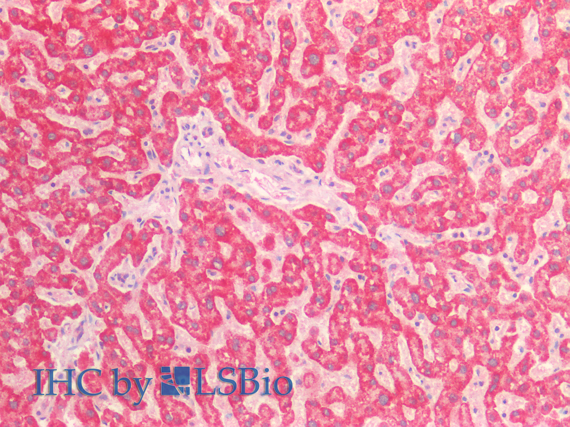
IHC Results Paraffin embedded Human Liver. Recommended concentration: 5µg/ml. | |
ELISA Detection Limit Antibody detection limit dilution 1:128000. | |
Western Blot Approx 70kDa band observed in lysates of cell line Jurkat and NIH3T3, and in Mouse and Rat Heart and Kidney lysates. Approx. 65kDa observed in Pig Heart lysates (calculated MW of 66.9kDa according to Human NP_004199.1 and 66.8kDa according to Mouse NP_036149.1, Rat NP_112646.1 and Pig NP_001284561.1). Recommended concentration: 0.01-0.1µg/ml. Primary incubation 1 hour at room temperature. | |
Application Type Pep-ELISA, WB, IHC, IF |
Goat Anti-AIFM1 Antibody
$464.00
| SKU | Unit Size | Price |
|---|---|---|
Select a unit size:
Documents |







