Formulation Supplied at 0.5 mg/ml in Tris saline, 0.02% sodium azide, pH7.3 with 0.5% bovine serum albumin.
| |
Unit Size 100 µg | |
Storage Instructions Aliquot and store at -20°C. Minimize freezing and thawing. | |
Synonym / Alias Names AIM2|PYHIN4|absent in melanoma 2 | |
Usage Summary Immunofluorescence: Strong expression of the protein seen in U2OS and HeLa cells. Recommended concentration: 10µg/ml.
Flow Cytometry: Flow cytometric analysis of HeLa cells. Recommended concentration: 10ug/ml. | |
Accession ID NP_004824.1; NP_001335176.1 | |
Blocking Peptide EBP09874 | |
Immunogen Peptide with sequence C-GEKLQLTSGVHSTIK, from the C Terminus of the protein sequence according to NP_004824.1; NP_001335176.1. | |
Peptide Sequence C-GEKLQLTSGVHSTIK | |
Purification Method Purified from goat serum by ammonium sulphate precipitation followed by antigen affinity chromatography using the immunizing peptide. | |
Shipping Instructions Refrigerated | |
Predicted Species Human | |
Reactive Species Human | |
Human Gene ID 9447 | |
Product Grade ![]() | |
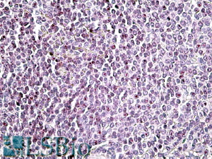
IHC Results In paraffin embedded Human Spleen shows nucleolar staining in some splenocytes. Recommended concentration: 4-6µg/ml. | |
ELISA Detection Limit Antibody detection limit dilution 1:8000. | |
Western Blot Approx 37kDa band observed in lysates of cell line HeLa (calculated MW of 39.0kDa according to Human NP_004824.1). Recommended concentration: 0.5-1ug/ml. Primary incubation 1 hour at room temperature. | |
Application Type Pep-ELISA, WB, IHC, IF, FC |
Goat Anti-AIM2 Antibody
$464.00
| SKU | Unit Size | Price |
|---|---|---|
Select a unit size:
Documents |





