Formulation Supplied at 0.5 mg/ml in Tris saline, 0.02% sodium azide, pH7.3 with 0.5% bovine serum albumin.
| |
Unit Size 100 µg | |
Storage Instructions Aliquot and store at -20°C. Minimize freezing and thawing. | |
Synonym / Alias Names AIP|ARA9|aryl hydrocarbon receptor interacting protein|FKBP16|FKBP37|XAP2|HBV-X associated protein|aryl hydrocarbon receptor-interacting protein | |
Accession ID NP_003968.1 | |
Blocking Peptide EBP07776 | |
Immunogen Peptide with sequence C-EARIRQKDEEDKAR, from the C Terminus of the protein sequence according to NP_003968.1. | |
Peptide Sequence C-EARIRQKDEEDKAR | |
Purification Method Purified from goat serum by ammonium sulphate precipitation followed by antigen affinity chromatography using the immunizing peptide. | |
Shipping Instructions Refrigerated | |
Predicted Species Human, Mouse, Rat, Dog | |
Reactive Species Mouse, Human | |
Human Gene ID 9049 | |
Mouse Gene ID 11632 | |
Rat Gene ID 282827 | |
Product Grade ![]() | |
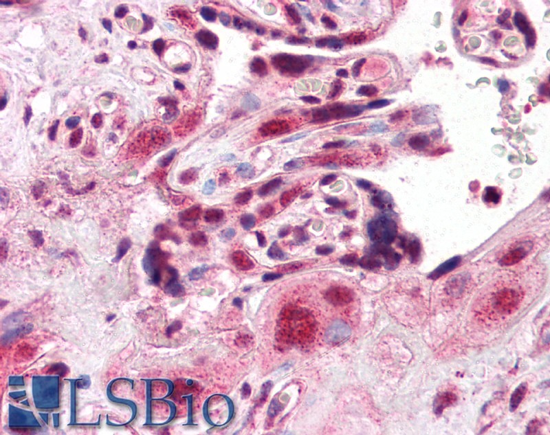
IHC Results Paraffin embedded Human Placenta. Recommended concentration: 5µg/ml. | |
ELISA Detection Limit Antibody detection limit dilution 1:64000. | |
Western Blot Approx 37kDa band observed in lysates of cell line NIH/3T3 (calculated MW of 37.7kDa according to Human NP_003968.1 and 37.6kDa according to mouse NP_057875.1). In transfected HEK293 transiently expressing ARA9 a band of approx. 42kDa is observed. This band is not observed in the non-transfected HEK293. Recommended concentration: 0.02-0.06µg/ml. | |
Application Type Pep-ELISA, WB, IHC |
Goat Anti-AIP / ARA9 Antibody
$431.00
| SKU | Unit Size | Price |
|---|---|---|
Select a unit size:
Documents |



