Formulation Supplied at 0.5 mg/ml in Tris saline, 0.02% sodium azide, pH7.3 with 0.5% bovine serum albumin.
| |
Unit Size 100 µg | |
Storage Instructions Aliquot and store at -20°C. Minimize freezing and thawing. | |
Synonym / Alias Names type IIb 3-alpha hydroxysteroid dehydrogenase|type II 3a-hydroxysteroid dehydrogenase|dihydrodiol dehydrogenase X|chlordecone reductase|aldo-keto reductase family 1, member C3|DDX|trans-1, 2-dihydrobenzene-1, 2-diol dehydrogenase|type IIb 3-alpha hydroxysteroid dehydrogenase|hydroxysteroid (17-beta) dehydrogenase 5|chlordecone reductase homolog|dihydrodiol dehydrogenase 3|prostaglandin F synthase|aldo-keto reductase family 1, member C3 (3-alpha hydroxysteroid dehydrogenase, type II)|KIAA0119|hluPGFS|HSD17B5|HA1753|HAKRe|HAKRB|DD3|AKR1C3 | |
Accession ID NP_003730.4 | |
Blocking Peptide EBP06637 | |
Immunogen Peptide with sequence CFASHPNYPYSDEY, from the C Terminus of the protein sequence according to NP_003730.4. | |
Peptide Sequence CFASHPNYPYSDEY | |
Purification Method Purified from goat serum by ammonium sulphate precipitation followed by antigen affinity chromatography using the immunizing peptide. | |
Shipping Instructions Refrigerated | |
Predicted Species Human | |
Reactive Species Human | |
Human Gene ID 8644 | |
Product Grade ![]() | |
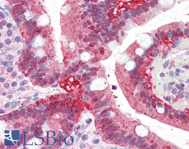
IHC Results Paraffin embedded Human Small Intestine. Recommended concentration: 5µg/ml. | |
ELISA Detection Limit Antibody detection limit dilution 1:32000. | |
Western Blot Approx 35kDa band observed in Human Liver and Human Breast lysates (calculated MW of 36.9kDa according to NP_003730). Recommended concentration: 0.01-0.1µg/ml. Primary incubation was 1 hour. | |
Application Type Pep-ELISA, WB, IHC |
Goat Anti-AKR1C3 Antibody
$431.00
| SKU | Unit Size | Price |
|---|---|---|
Select a unit size:
Documents |


