Formulation Supplied at 0.5 mg/ml in Tris saline, 0.02% sodium azide, pH7.3 with 0.5% bovine serum albumin.
| |
Unit Size 100 µg | |
Storage Instructions Aliquot and store at -20°C. Minimize freezing and thawing. | |
Synonym / Alias Names rac protein kinase beta|Murine thymoma viral (v-akt) homolog-2|RAC-BETA|PRKBB|PKBBETA|HGNC:392|v-akt murine thymoma viral oncogene homolog 2|AKT2 | |
Usage Summary Flow Cytometry: A customer reported weak staining on THP-1 cells at a concentration of 10ug/ml. | |
Accession ID NP_001617.1; NP_001229956.1; NP_001317440.1 | |
Blocking Peptide EBP06772 | |
Immunogen Peptide with sequence C-RYDSLGLLELDQRT, from the C Terminus of the protein sequence according to NP_001617.1; NP_001229956.1; NP_001317440.1. | |
Product Comments This antibody is expectesd to recognise all reported iasoforms NP_001617.1; NP_001229956.1; NP_001317440.1. | |
Peptide Sequence C-RYDSLGLLELDQRT | |
Purification Method Purified from goat serum by ammonium sulphate precipitation followed by antigen affinity chromatography using the immunizing peptide. | |
Shipping Instructions Refrigerated | |
Predicted Species Human, Mouse, Rat, Dog | |
Reactive Species Human, Rat | |
Human Gene ID 208 | |
Product Grade ![]() | |
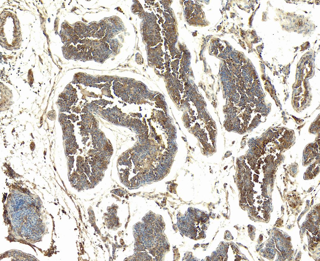
IHC Results Paraffin embedded Human Testis. Recommended concentration: 4-6µg/ml. | |
ELISA Detection Limit Antibody detection limit dilution 1:16000. | |
Western Blot Approx. 58-60kDa band observed in Human Skeletal Muscle lysates and in Rat Testis lysates, and approx.60kDa in Human Testis lysates, and in preliminary testing of THP-1 cell lysate (calculated MW of 55.8kDa according to Human NP_001617.1 and 55.5kDa according to Rat NP_058789.1). Recommended concentration: 0.5-1µg/ml. Primary incubation 1 hour at room temperature | |
Application Type Pep-ELISA, WB, IHC |
Goat Anti-AKT2 Antibody
$431.00
| SKU | Unit Size | Price |
|---|---|---|
Select a unit size:
Documents |




