Formulation Supplied at 0.5 mg/ml in Tris saline, 0.02% sodium azide, pH7.3 with 0.5% bovine serum albumin.
| |
Unit Size 100 µg | |
Storage Instructions Aliquot and store at -20°C. Minimize freezing and thawing. | |
Synonym / Alias Names RAC-gamma serine/threonine protein kinase|serine threonine protein kinase, Akt-3|protein kinase B gamma|v-akt murine thymoma viral oncogene homolog 3 (protein kinase B, gamma)|DKFZP434N0250|RAC-PK-gamma|RAC-gamma|STK-2|PRKBG|PKBG|AKT3 | |
Usage Summary Immunofluorescence: Strong expression of the protein seen in THP-1 and A431 cells. Recommended concentration: 10µg/ml.
Flow Cytometry: Flow cytometric analysis of HepG2 cells. Recommended concentration: 10ug/ml. | |
Accession ID NP_005456.1; NP_859029.1 | |
Blocking Peptide EBP06562 | |
Immunogen Peptide with sequence CSPTSQIDNIGEEEM, from the internal region of the protein sequence according to NP_005456.1; NP_859029.1. | |
Product Comments This antibody is expected to recognise an epitope corresponding to aa 119-133 of both isoforms of human AKT3 protein. This antibody does not cross-react with human AKT1/2. Reported variants represent identical protein (NP_859029.1; NP_001193658.1). | |
Peptide Sequence CSPTSQIDNIGEEEM | |
Purification Method Purified from goat serum by ammonium sulphate precipitation followed by antigen affinity chromatography using the immunizing peptide. | |
Shipping Instructions Refrigerated | |
Predicted Species Human, Mouse, Rat, Dog, Cow | |
Reactive Species Human, Mouse, Rat | |
Human Gene ID 10000 | |
Product Grade ![]() | |
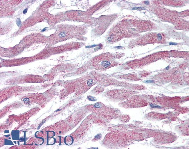
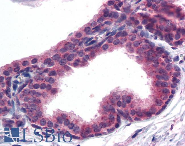
IHC Results Paraffin embedded Human Prostate and Heart. Recommended concentration: 5µg/ml. | |
ELISA Detection Limit Antibody detection limit dilution 1:16000. | |
Western Blot Approx. 50-55kDa band observed in lysates of cell lines HepG2, and HeLa , approx. 55kDa in Human Thyroid lysates, and approx. 50kDa in Mouse and Rat Brain lysates (calculated MW of 54.0kDa according to Human NP_859029.1 and 55.7kDa according to Mouse NP_035915.3 and Rat NP_113763.2). Recommended concentration: 1-3µg/ml. Primary incubation 1 hour at room temperature. Positive Control: A batch specific positive control lysate is available for this product. Please contact [email protected] for availability. | |
Application Type Pep-ELISA, WB, IHC, IF, FC |
Goat Anti-AKT3 Antibody
$431.00
| SKU | Unit Size | Price |
|---|---|---|
Select a unit size:
Documents |







