Formulation Supplied at 0.5 mg/ml in Tris saline, 0.02% sodium azide, pH7.3 with 0.5% bovine serum albumin.
| |
Unit Size 100 µg | |
Storage Instructions Aliquot and store at -20°C. Minimize freezing and thawing. | |
Synonym / Alias Names dihydrodiol dehydrogenase 3|OTTHUMP00000009240|DD3|aldo-keto reductase family 1, member A1|alcohol dehydrogenase|MGC1380|MGC12529|ALR|ALDR1|aldo-keto reductase family 1, member A1 (aldehyde reductase)|AKR1A1|aldehyde reductase | |
Accession ID NP_006057.1; NP_697021.1 | |
Blocking Peptide EBP05538 | |
Immunogen Peptide with sequence C-DAGHPLYPFNDPY, from the C Terminus of the protein sequence according to NP_006057.1; NP_697021.1. | |
Product Comments Both reported variants (NP_006057.1and NP_697021.1) represent identical protein | |
Peptide Sequence C-DAGHPLYPFNDPY | |
Purification Method Purified from goat serum by ammonium sulphate precipitation followed by antigen affinity chromatography using the immunizing peptide. | |
Shipping Instructions Refrigerated | |
Predicted Species Human, Mouse, Rat, Dog, Pig, Cow | |
Reactive Species Human | |
Human Gene ID 10327 | |
Mouse Gene ID 58810 | |
Rat Gene ID 78959 | |
Product Grade ![]() | |
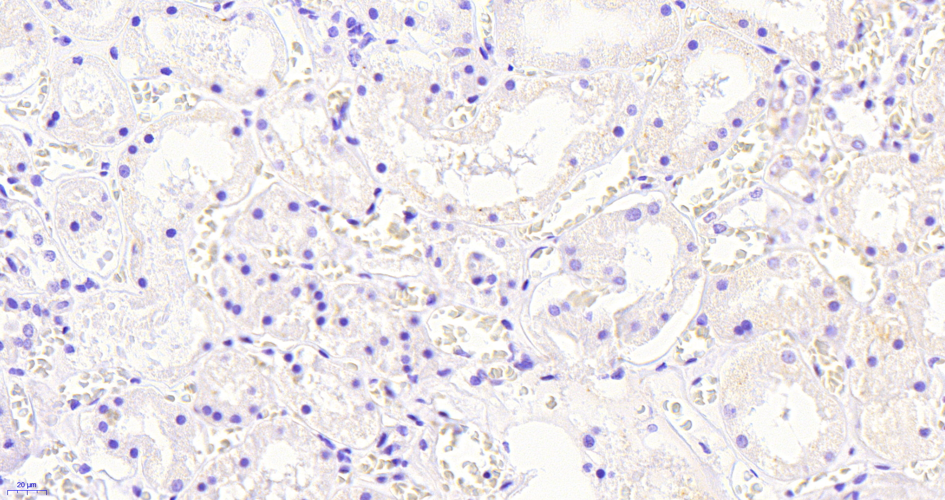
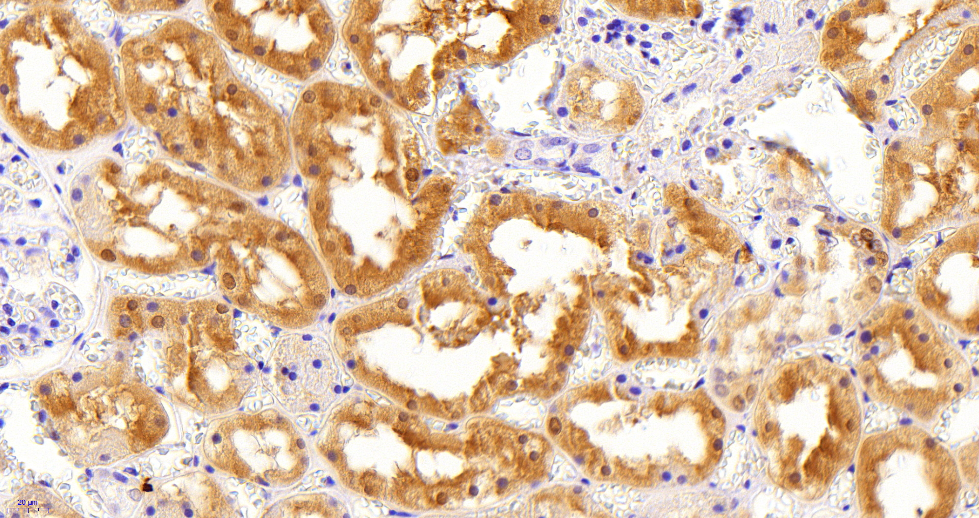
IHC Results Paraffin embedded Human Kidney. Recommended concentration: 5µg/ml. | |
ELISA Detection Limit Antibody detection limit dilution 1:16000. | |
Western Blot Approx 37kDa band observed in Human Liver lysates (calculated MW of 36.6kDa according to NP_006057.1 and NP_697021.1). Recommended concentration: 0.1-0.3µg/ml. Primary incubation 1 hour at room temperature. | |
Application Type Pep-ELISA, WB, IHC |
Goat Anti-Aldehyde Reductase Antibody
$431.00
| SKU | Unit Size | Price |
|---|---|---|
Select a unit size:
Documents |



