Formulation Supplied at 0.5 mg/ml in Tris saline, 0.02% sodium azide, pH7.3 with 0.5% bovine serum albumin.
| |
Unit Size 100 µg | |
Storage Instructions Aliquot and store at -20°C. Minimize freezing and thawing. | |
Synonym / Alias Names Aldh3a2|FALDH|Aldh4|aldehyde dehydrogenase family 3, subfamily A2|aldehyde dehydrogenase family 3 member A2|aldehyde dehydrogenase 4|aldehyde dehydrogenase 3A2|aldehyde dehydrogenase 3 family, member A2|alcohol dehydrogenase family 3, subfamily A2 | |
Accession ID NP_113919.2 | |
Blocking Peptide EBP10132 | |
Immunogen Peptide with sequence C-KGLKGESVNKLRY, from the internal region of the protein sequence according to NP_113919.2. | |
Product Comments This antibody is expected to recognize both reported isoforms (NP_001026976.1; NP_000373.1). | |
Peptide Sequence C-KGLKGESVNKLRY | |
Purification Method Purified from goat serum by ammonium sulphate precipitation followed by antigen affinity chromatography using the immunizing peptide. | |
Shipping Instructions Refrigerated | |
Predicted Species Mouse, Rat | |
Reactive Species Human, Rat | |
Mouse Gene ID 11671 | |
Rat Gene ID 65183 | |
Product Grade ![]() | |
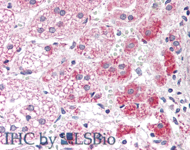
IHC Results Paraffin embedded Human Adrenal Gland. Recommended concentration: 5µg/ml. | |
ELISA Detection Limit Antibody detection limit dilution 1:32000. | |
Western Blot Approx 55kDa band observed in Rat Liver lysates (calculated MW of 54.1kDa according to Rat NP_113919.2). Recommended concentration: 0.03-0.1µg/ml. Primary incubation was 1 hour. | |
Application Type Pep-ELISA, WB, IHC |
Goat Anti-ALDH3A2 Antibody
$431.00
| SKU | Unit Size | Price |
|---|---|---|
Select a unit size:
Documents |


