Formulation Supplied at 0.5 mg/ml in Tris saline, 0.02% sodium azide, pH7.3 with 0.5% bovine serum albumin.
| |
Unit Size 100 µg | |
Storage Instructions Aliquot and store at -20°C. Minimize freezing and thawing. | |
Synonym / Alias Names aldehyde dehydrogenase 6 family, member A1|aldehyde dehydrogenase 6A1|MGC40271|mitochondrial acylating methylmalonate-semialdehyde dehydrogenase|MMSADHA|MMSDH|ALDH6A1 | |
Accession ID NP_005580.1; NP_001265522.1; NP_001265523.1 | |
Blocking Peptide EBP10437 | |
Immunogen Peptide with sequence C-SRSSFRGDTN, from the internal region of the protein sequence according to NP_005580.1; NP_001265522.1; NP_001265523.1. | |
Product Comments This antibody is expected to recognize all three reported isoform (NP_005580.1; NP_001265522.1; NP_001265523.1). | |
Peptide Sequence C-SRSSFRGDTN | |
Purification Method Purified from goat serum by ammonium sulphate precipitation followed by antigen affinity chromatography using the immunizing peptide. | |
Shipping Instructions Refrigerated | |
Predicted Species Human, Mouse, Rat, Dog, Cow, Pig | |
Reactive Species Human, Mouse, Rat | |
Human Gene ID 4329 | |
Mouse Gene ID 104776 | |
Rat Gene ID 81708 | |
Product Grade ![]() | |
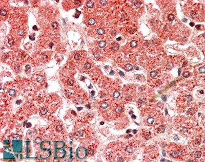
IHC Results In paraffin embedded Human Liver shows textured staining of the cytoplasm consistent with mitochondria. Recommended concentration, 5-10µg/ml. | |
ELISA Detection Limit Antibody detection limit dilution 1:32000. | |
Western Blot Approx 55kDa band observed in Human, Mouse and Rat Kidney lysates (calculated MW of 57.8kDa according to NP_005580.1). Recommended concentration: 0.1-0.3µg/ml. | |
Application Type Pep-ELISA, WB, IHC |
Goat Anti-ALDH6A1 (aa487-496) Antibody
$431.00
| SKU | Unit Size | Price |
|---|---|---|
Select a unit size:
Documents |


