Formulation Supplied at 0.5 mg/ml in Tris saline, 0.02% sodium azide, pH7.3 with 0.5% bovine serum albumin.
| |
Unit Size 100 µg | |
Storage Instructions Aliquot and store at -20°C. Minimize freezing and thawing. | |
Synonym / Alias Names synuclein, alpha (non A4 component of amyloid precursor)|synuclein alpha-140|SNCA|PD1|PARK4|PARK1|non A-beta component of AD amyloid|NACP|alpha-synuclein | |
Accession ID NP_009292.1; NP_000336.1 | |
Blocking Peptide EBP11713 | |
Immunogen Peptide with sequence C-ATGFVKKDQLGK, from the internal region of the protein sequence according to NP_009292.1; NP_000336.1. | |
Product Comments This antibody is expected to recognize both reported isoforms (NP_009292.1; NP_000336.1). Reported variants represent identical protein: NP_000336.1, NP_001139527.1, NP_001139526.1 | |
Peptide Sequence C-ATGFVKKDQLGK | |
Purification Method Purified from goat serum by ammonium sulphate precipitation followed by antigen affinity chromatography using the immunizing peptide. | |
Shipping Instructions Refrigerated | |
Predicted Species Human, Mouse, Rat, Dog, Pig | |
Reactive Species Human, Mouse | |
Human Gene ID 6622 | |
Mouse Gene ID 20617 | |
Rat Gene ID 29219 | |
Product Grade ![]() | |
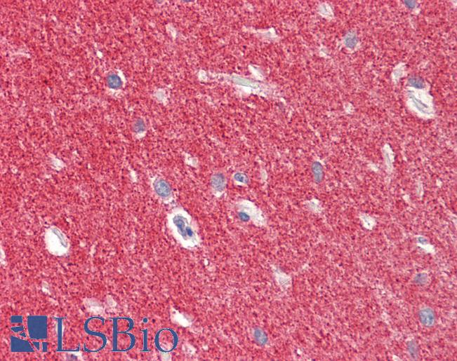
IHC Results Paraffin embedded Human Brain (Cerebellum). Recommended concentration: 5µg/ml. | |
ELISA Detection Limit Antibody detection limit dilution 1:128000. | |
Western Blot Approx 17kDa band observed in Human Brain (Amygdala) and fetal Mouse Brain lysates (calculated MW of 14.5kDa according to Human NP_000336.1 and Mouse NP_033247.1). This molecular weight is routinely observed by other sources. Recommended concentration: 0.1-0.3µg/ml. Primary incubation was 1 hour. | |
Application Type Pep-ELISA, WB, IHC |
Goat Anti-Alpha-synuclein Antibody
$431.00
| SKU | Unit Size | Price |
|---|---|---|
Select a unit size:
Selected References [{"pmid": 30343424, "intro": "This antibody has been successfully used in Western blot on Human:", "title": "Novel Alpha-Synuclein Oligomers Formed with the Aminochrome-Glutathione Conjugate Are Not Neurotoxic", "author": "Sandro Huenchuguala & Birgitta Sjödin & Bengt Mannervik & Juan Segura-Aguilar", "journal": "Neurotox Res. 2019 Feb;35(2):432-440."}, {"pmid": 0, "intro": "This antibody has been successfully used in the following paper:", "title": "?-Synuclein facilitates clathrin assembly in synaptic vesicle endocytosis", "author": "Karina J. Vargas, P. L. Colosi, Eric Girardi, Jae-Min Park, Sreeganga S. Chandra", "journal": "(2021) https://doi.org/10.1101/2020.04.29.069344"}] |
Documents |


