Formulation Supplied at 0.5 mg/ml in Tris saline, 0.02% sodium azide, pH7.3 with 0.5% bovine serum albumin.
| |
Unit Size 100 µg | |
Storage Instructions Aliquot and store at -20°C. Minimize freezing and thawing. | |
Synonym / Alias Names synuclein, alpha (non A4 component of amyloid precursor)|synuclein alpha-140|SNCA|PD1|PARK4|PARK1|non A-beta component of AD amyloid|NACP|alpha-synuclein | |
Accession ID NP_000336.1 | |
Blocking Peptide EBP11714 | |
Immunogen Peptide with sequence C-KDQLGKNEEGAPQE, from the internal region of the protein sequence according to NP_000336.1. | |
Product Comments This antibody is expected to recognize reported isoform NACP140 (NP_000336.1) only. Reported variants represent identical protein: NP_000336.1, NP_001139527.1, NP_001139526.1 | |
Peptide Sequence C-KDQLGKNEEGAPQE | |
Purification Method Purified from goat serum by ammonium sulphate precipitation followed by antigen affinity chromatography using the immunizing peptide. | |
Shipping Instructions Refrigerated | |
Predicted Species Human, Pig | |
Reactive Species Human | |
Human Gene ID 6622 | |
Product Grade ![]() | |
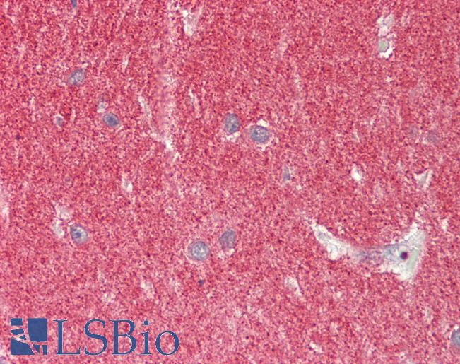
IHC Results Paraffin embedded Human Brain (Cerebellum). Recommended concentration: 5µg/ml. | |
ELISA Detection Limit Antibody detection limit dilution 1:32000. | |
Western Blot Approx 17kDa band observed in Human Brain (Amygdala) lysates (calculated MW of 14.5kDa according to NP_000336.1). This molecular weight is routinely observed by other sources. Recommended concentration: 0.1-0.3µg/ml. Primary incubation was 1 hour. | |
Application Type Pep-ELISA, WB, IHC |
Goat Anti-Alpha-synuclein (NACP140) Antibody
$431.00
| SKU | Unit Size | Price |
|---|---|---|
Select a unit size:
Selected References [{"pmid": 25634539, "intro": "This antibody has been successfully used in WB and IF on Rat:", "title": "DT-Diaphorase Prevents Aminochrome-Induced Alpha-Synuclein Oligomer Formation and Neurotoxicity.", "author": "Muñoz P, Cardenas S, Huenchuguala S, Briceño A, Couve E, Paris I, Segura-Aguilar J.", "journal": "Toxicol Sci. 2015 May;145(1):37-47."}] |
Documents |


