Formulation Supplied at 0.5 mg/ml in Tris saline, 0.02% sodium azide, pH7.3 with 0.5% bovine serum albumin.
| |
Unit Size 100 µg | |
Storage Instructions Aliquot and store at -20°C. Minimize freezing and thawing. | |
Synonym / Alias Names 2-methylacyl-CoA racemase|RM|RACE|CBAS4|AMACRD|alpha-methylacyl-CoA racemase|AMACR | |
Accession ID NP_055139.4; NP_001161067.1 | |
Blocking Peptide EBP12539 | |
Immunogen Peptide with sequence C-RGSFITSEEQDVSPR, from the internal region of the protein sequence according to NP_055139.4; NP_001161067.1. | |
Peptide Sequence C-RGSFITSEEQDVSPR | |
Purification Method Purified from goat serum by ammonium sulphate precipitation followed by antigen affinity chromatography using the immunizing peptide. | |
Shipping Instructions Refrigerated | |
Predicted Species Human | |
Reactive Species Human | |
Human Gene ID 23600 | |
Product Grade ![]() | |
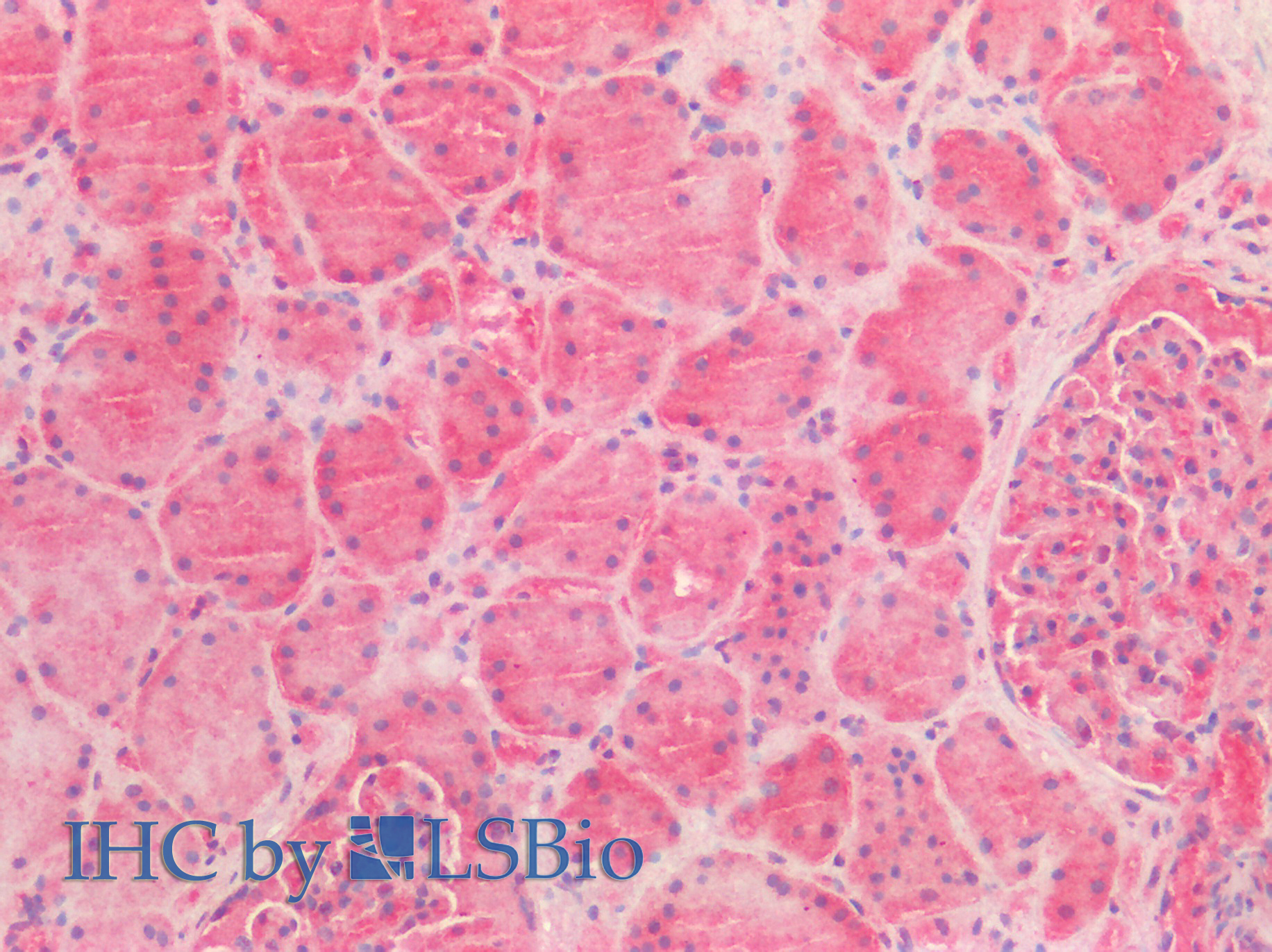
IHC Results Paraffin embedded Human Kidney. Recommended concentration: 5µg/ml. | |
ELISA Detection Limit Antibody detection limit dilution 1:64000. | |
Western Blot Approx 40-42kDa band observed in Human Kidney, Liver and Coloretal cancer lysates, and in lysates of cell line CaCo-2, and approx 40.45kDa band observed in lysates of cell line LNCaP (calculated MW of 42.4kDa according to NP_055139.4) and 43.9kDa according to .NP_001161067.1) Recommended concentration: 0.03-1µg/ml. Primary incubation 1 hour at room temperature. | |
Application Type Pep-ELISA, WB, IHC |
Goat Anti-AMACR (aa312-326) Antibody
$431.00
| SKU | Unit Size | Price |
|---|---|---|
Select a unit size:
Documents |



