Formulation Supplied at 0.5 mg/ml in Tris saline, 0.02% sodium azide, pH7.3 with 0.5% bovine serum albumin.
| |
Unit Size 100 µg | |
Storage Instructions Aliquot and store at -20°C. Minimize freezing and thawing. | |
Synonym / Alias Names AMID|PRG3|apoptosis-inducing factor (AIF)-like mitochondrion-associated inducer of death|5430437E11Rik|p53-responsive gene 3|apoptosis-inducing factor (AIF)-homologous mitochondrion-associated inducer of death|AIFM2|apoptosis-inducing factor, mitochondrion-associated, 2|RP11-367H5.2|OTTHUMP00000019740|apoptosis-inducing factor (AIF)-homologous mitochondrion-associated inducer of death | |
Accession ID NP_116186.1 | |
Blocking Peptide EBP06630 | |
Immunogen Peptide with sequence GSQVSVESGALHC, from the N Terminus of the protein sequence according to NP_116186.1. | |
Peptide Sequence GSQVSVESGALHC | |
Purification Method Purified from goat serum by ammonium sulphate precipitation followed by antigen affinity chromatography using the immunizing peptide. | |
Shipping Instructions Refrigerated | |
Predicted Species Human | |
Reactive Species Human | |
Human Gene ID 84883 | |
Product Grade ![]() | |
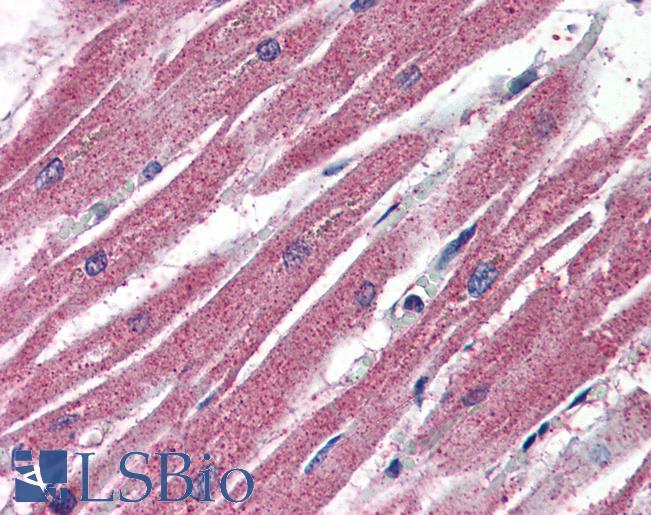
IHC Results Paraffin embedded Human Skeletal Muscle and Heart. Recommended concentration: 4µg/ml. | |
ELISA Detection Limit Antibody detection limit dilution 1:128000. | |
Western Blot Preliminary experiments gave an approx 48-50kDa band in Human Colon and Duodenum lysates after 0.1µg/ml antibody staining. Please note that currently we cannot find an explanation in the literature for the band we observe given the calculated size of 40.5kDa according to NP_116186. The 48-50kDa band was successfully blocked by incubation with the immunizing peptide. | |
Application Type Pep-ELISA, IHC |
Goat Anti-AMID / PRG3 Antibody
$431.00
| SKU | Unit Size | Price |
|---|---|---|
Select a unit size:
Documents |


