Formulation Supplied at 0.5 mg/ml in Tris saline, 0.02% sodium azide, pH7.3 with 0.5% bovine serum albumin.
| |
Unit Size 100 µg | |
Storage Instructions Aliquot and store at -20°C. Minimize freezing and thawing. | |
Synonym / Alias Names App| protease nexin II| E030013M08Rik| Cvap| betaApp| appican| amyloidogenic glycoprotein| amyloid beta A4 protein| amyloid beta (A4) precursor protein| alzheimer disease amyloid A4 protein homolog| Ag| Adap| Abpp| Abeta | |
Accession ID NP_001185752.1; NP_031497.2; NP_001185753.1; NP_001185754.1; NP_001185755.1 | |
Blocking Peptide EBP11159 | |
Immunogen Peptide with sequence DAEFGHDSGFEVRHQK-C, from the N Terminus of the protein sequence according to NP_001185752.1; NP_031497.2; NP_001185753.1; NP_001185754.1; NP_001185755.1. | |
Product Comments This antibody is expected to recognize all reported isoforms of mAPP (NP_001185752.1; NP_031497.2; NP_001185753.1; NP_001185754.1; NP_001185755.1) and to recognize all lengths of the putative mouse Amyloid beta peptide. | |
Peptide Sequence DAEFGHDSGFEVRHQK-C | |
Purification Method Purified from goat serum by ammonium sulphate precipitation followed by antigen affinity chromatography using the immunizing peptide. | |
Shipping Instructions Refrigerated | |
Predicted Species Mouse, Rat | |
Reactive Species Human, Mouse | |
Mouse Gene ID 11820 | |
Rat Gene ID 54226 | |
Product Grade ![]() | |
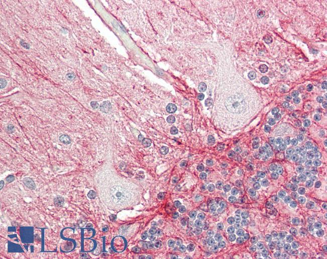
IHC Results Paraffin embedded Human Brain (Cerebellum). Recommended concentration: 5µg/ml. | |
ELISA Detection Limit Antibody detection limit dilution 1:64000. | |
Western Blot Approx 100kDa band observed in Mouse Brain lysates (calculated MW of 86.7kDa according to NP_001185752.1). Recommended concentration: 0.03-0.1µg/ml. Primary incubation was 1 hour. | |
Application Type Pep-ELISA, WB, IHC |
Goat Anti-Amyloid beta peptide (mouse) Antibody
$431.00
| SKU | Unit Size | Price |
|---|---|---|
Select a unit size:
Documents |


