Formulation Supplied at 0.5 mg/ml in Tris saline, 0.02% sodium azide, pH7.3 with 0.5% bovine serum albumin.
| |
Unit Size 100 µg | |
Storage Instructions Aliquot and store at -20°C. Minimize freezing and thawing. | |
Synonym / Alias Names ANKK1|ankyrin repeat and kinase domain containing 1|PKK2|X-kinase|protein kinase PKK2 | |
Accession ID NP_848605.1 | |
Blocking Peptide EBP08835 | |
Immunogen Peptide with sequence C-SRQADPNLHEAEGKT, from the internal region of the protein sequence according to NP_848605.1. | |
Peptide Sequence C-SRQADPNLHEAEGKT | |
Purification Method Purified from goat serum by ammonium sulphate precipitation followed by antigen affinity chromatography using the immunizing peptide. | |
Shipping Instructions Refrigerated | |
Predicted Species Human | |
Reactive Species Human | |
Human Gene ID 255239 | |
Product Grade ![]() | |
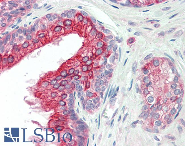
IHC Results Paraffin embedded Human Prostate. Recommended concentration: 5-10µg/ml. | |
ELISA Detection Limit Antibody detection limit dilution 1:128000. | |
Western Blot Approx. 85kDa band observed in Human Brain (Substantia nigra and Amygdala) lysates (calculated MW of 84.6 kDa according to NP_848605.1). Recommended concentration: 0.1-0.3µg/ml. Primary incubation was 1 hour.
An additional band of unknown identity was also consistently observed at 35 kDa. This band was successfully blocked by incubation with the immunising peptide. | |
Application Type Pep-ELISA, WB, IHC |
Goat Anti-ANKK1 Antibody
$431.00
| SKU | Unit Size | Price |
|---|---|---|
Select a unit size:
Documents |


