Formulation Supplied at 0.5 mg/ml in Tris saline, 0.02% sodium azide, pH7.3 with 0.5% bovine serum albumin.
| |
Unit Size 100 µg | |
Storage Instructions Aliquot and store at -20°C. Minimize freezing and thawing. | |
Synonym / Alias Names redox factor 1|apurinic/apyrimidinic (abasic) endonuclease|deoxyribonuclease (apurinic or apyrimidinic)|APEX nuclease 1 endonuclease|apurinic/apyrimidinic (abasic)|DNA-(apurinic or apyrimidinic site) lyase|multifunctional DNA repair enzyme|apurinic/apyrimidinic exonuclease|AP endonuclease class I|AP lyase|REF-1|REF1|HAP1|APEN|APX|APE|APEX nuclease (multifunctional DNA repair enzyme)|APEX|APEX1|APE1 | |
Usage Summary Additional validation: This antibody has been successfully used in the following paper: Sikorski et al. (2018) PMID: 30377371. | |
Accession ID NP_001632.2 | |
Blocking Peptide EBP05345 | |
Immunogen Peptide with sequence PKRGKKGAVAEDGD-C, from the N Terminus of the protein sequence according to NP_001632.2. | |
Product Comments Reported variants represent identical protein (NP_001632.2; NP_542379.1; NP_542380.1). | |
Peptide Sequence PKRGKKGAVAEDGD-C | |
Purification Method Purified from goat serum by ammonium sulphate precipitation followed by antigen affinity chromatography using the immunizing peptide. | |
Shipping Instructions Refrigerated | |
Predicted Species Human, Dog, Pig, Cow | |
Reactive Species Human | |
Human Gene ID 328 | |
Product Grade ![]() | |
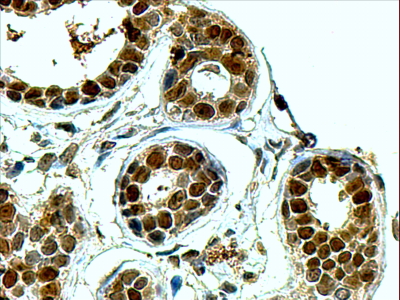
IHC Results In paraffin embedded Human Breast shows nuclear staining of lobular epithelial cells. Recommended concentration: 4-6µg/ml. | |
ELISA Detection Limit Antibody detection limit dilution 1:16000. | |
Western Blot Approx 37kDa band observed in nuclear lysates of cell lines A431, HeLa and MCF7 (calculated MW of 35.6kDa according to NP_001632.2, NP_542379.1 and NP_542380.1). Recommended concentration: 0.1-0.3µg/ml. | |
Application Type Pep-ELISA, WB, IHC |
Goat Anti-APE1 / APEX1 Antibody
$431.00
| SKU | Unit Size | Price |
|---|---|---|
Select a unit size:
Selected References [{"pmid": 30377371, "intro": "This antibody has been successfully used in the following paper:", "title": "A high-throughput pipeline for validation of antibodies", "author": "Krzysztof Sikorski, Adi Mehta, Marit Inngjerdingen, Flourina Thakor, Simon Kling, Tomas Kalina, Tuula A. Nyman, Maria Ekman Stensland, Wei Zhou, Gustavo A. De Souza, Lars Holden, Jan Stuchly, Markus Templin and Fridtjof Lund-Johansen", "journal": "Nat Methods. 2018 Nov;15(11):909-912"}] |
Documents |


