Formulation Supplied at 0.5 mg/ml in Tris saline, 0.02% sodium azide, pH7.3 with 0.5% bovine serum albumin.
| |
Unit Size 100 µg | |
Storage Instructions Aliquot and store at -20°C. Minimize freezing and thawing. | |
Synonym / Alias Names anterior pharynx defective 1 homolog A|CGI-78|APH-1A|6530402N02Rik|anterior pharynx defective 1 homolog A (C. elegans)|APH1A | |
Accession ID NP_001071096.1; NP_057106.2 | |
Blocking Peptide EBP07860 | |
Immunogen Peptide with sequence C-HVTDRSDARLQYG, from the internal region of the protein sequence according to NP_001071096.1; NP_057106.2. | |
Product Comments This antibody is expected to recognize isoform 1 (NP_001071096.1) and isoform 2 (NP_057106.2). | |
Peptide Sequence C-HVTDRSDARLQYG | |
Purification Method Purified from goat serum by ammonium sulphate precipitation followed by antigen affinity chromatography using the immunizing peptide. | |
Shipping Instructions Refrigerated | |
Predicted Species Human, Mouse, Rat, Dog, Pig, Cow | |
Reactive Species Human | |
Human Gene ID 51107 | |
Product Grade ![]() | |
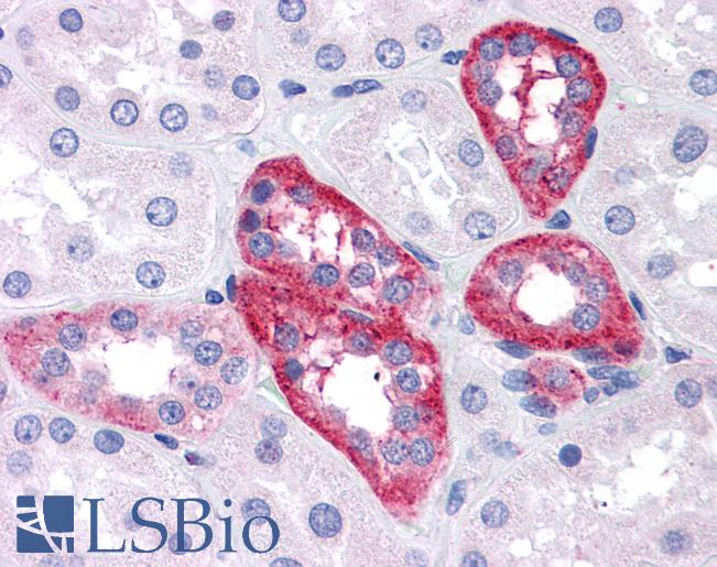
IHC Results Paraffin embedded Human Placenta and Kidney. Recommended concentration: 5µg/ml. | |
ELISA Detection Limit Antibody detection limit dilution 1:128000. | |
Western Blot Approx 26kDa band observed in Human Brain (Cerebral Cortex) lysates (calculated MW of 26.8kDa according to NP_057106.2). Recommended concentration: 0.05-0.1µg/ml. Primary incubation was 1 hour. | |
Application Type Pep-ELISA, WB, IHC |
Goat Anti-APH1A Antibody
$431.00
| SKU | Unit Size | Price |
|---|---|---|
Select a unit size:
Documents |



