Formulation Supplied at 0.5 mg/ml in Tris saline, 0.02% sodium azide, pH7.3 with 0.5% bovine serum albumin.
| |
Unit Size 100 µg | |
Storage Instructions Aliquot and store at -20°C. Minimize freezing and thawing. | |
Synonym / Alias Names apolipoprotein B|apoB-100|FLDB|apolipoprotein B (including Ag(x) antigen)|APOB | |
Accession ID NP_000375.3 | |
Blocking Peptide EBP08792 | |
Immunogen Peptide with sequence C-TDLHLRYQKDKK, from the internal region of the protein sequence according to NP_000375.3. | |
Product Comments This antibody only recognises ApoB-100 and not the cleaved chain ApoB-48. | |
Peptide Sequence C-TDLHLRYQKDKK | |
Purification Method Purified from goat serum by ammonium sulphate precipitation followed by antigen affinity chromatography using the immunizing peptide. | |
Shipping Instructions Refrigerated | |
Predicted Species Human | |
Reactive Species Human | |
Human Gene ID 338 | |
Product Grade ![]() | |
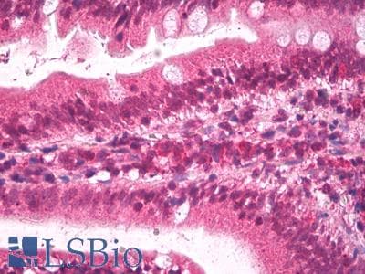
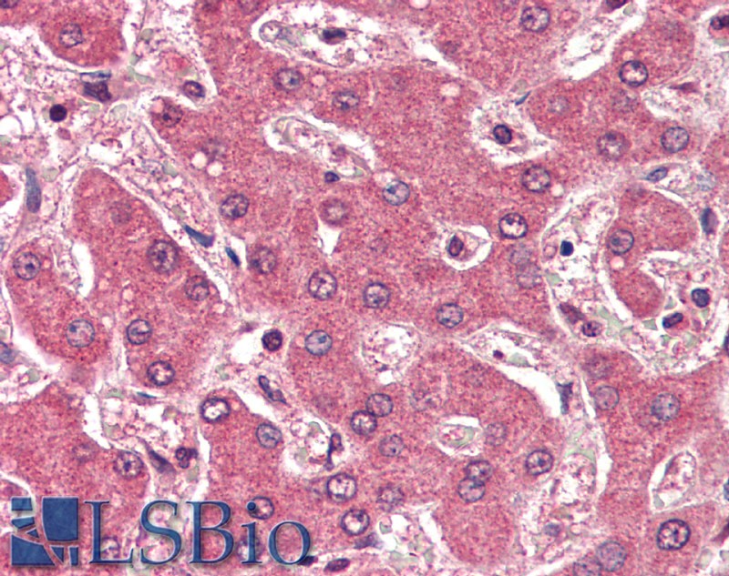
IHC Results Paraffin embedded Human Liver and Small Intestine. Recommended concentration: 2µg/ml. | |
ELISA Detection Limit Antibody detection limit dilution 1:32000. | |
Western Blot Customer data showed a band corresponding to the exopected size of ApoB-100 in Human serum samples from five different individuals (calculated Mwt of 515kDa according to NP_000375.3). The smalller bands shown are believed to be degradation products of ApoB-100 (not ApoB-48). Recommended concentration: 0.3-1µg/ml. | |
Application Type Pep-ELISA, WB, IHC |
Goat Anti-APOB Antibody
$431.00
| SKU | Unit Size | Price |
|---|---|---|
Select a unit size:
Documents |



