Formulation Supplied at 0.5 mg/ml in Tris saline, 0.02% sodium azide, pH7.3 with 0.5% bovine serum albumin.
| |
Unit Size 100 µg | |
Storage Instructions Aliquot and store at -20°C. Minimize freezing and thawing. | |
Synonym / Alias Names probable DNA dC->dU-editing enzyme APOBEC-3D| apolipoprotein B mRNA editing enzyme, catalytic polypeptide-like 3E pseudogene| DNA dC->dU-editing enzyme APOBEC-3D| ARP6| APOBEC3E| APOBEC3DE| apolipoprotein B mRNA editing enzyme, catalytic polypeptide-like 3D|APOBEC3D | |
Accession ID NP_689639.2 | |
Blocking Peptide EBP10903 | |
Immunogen Peptide with sequence C-PKRQSNHRQEVYFR, from the internal region of the protein sequence according to NP_689639.2. | |
Peptide Sequence C-PKRQSNHRQEVYFR | |
Purification Method Purified from goat serum by ammonium sulphate precipitation followed by antigen affinity chromatography using the immunizing peptide. | |
Shipping Instructions Refrigerated | |
Predicted Species Human | |
Reactive Species Human | |
Human Gene ID 140564 | |
Product Grade ![]() | |
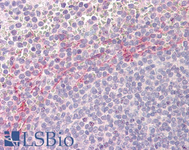
IHC Results Paraffin embedded Human Spleen. Recommended concentration: 3.75µg/ml. | |
ELISA Detection Limit Antibody detection limit dilution 1:32000. | |
Western Blot Approx 45kDa band observed in lysates of cell line A549 (calculated MW of 46.6kDa according to NP_689639.2). Recommended concentration: 0.3-1µg/ml. Primary incubation was 1 hour. | |
Application Type Pep-ELISA, WB, IHC |
Goat Anti-APOBEC3D (aa61-74) Antibody
$431.00
| SKU | Unit Size | Price |
|---|---|---|
Select a unit size:
Documents |


