Formulation Supplied at 0.5 mg/ml in Tris saline, 0.02% sodium azide, pH7.3 with 0.5% bovine serum albumin.
| |
Unit Size 100 µg | |
Storage Instructions Aliquot and store at -20°C. Minimize freezing and thawing. | |
Synonym / Alias Names phorbolin-like protein MDS019|apolipoprotein B mRNA editing enzyme catalytic polypeptide-like 3G|OTTHUMP00000028911|DNA dC->dU editing enzyme|dJ494G10.1|bK150C2.7|MDS019|FLJ12740|CEM15|ARP9|apolipoprotein B mRNA editing enzyme, catalytic polypeptide-like 3G|APOBEC3G | |
Accession ID NP_068594.1 | |
Blocking Peptide EBP07744 | |
Immunogen Peptide with sequence C-DEHSQDLSGRLR, from the C Terminus of the protein sequence according to NP_068594.1. | |
Peptide Sequence C-DEHSQDLSGRLR | |
Purification Method Purified from goat serum by ammonium sulphate precipitation followed by antigen affinity chromatography using the immunizing peptide. | |
Shipping Instructions Refrigerated | |
Predicted Species Human | |
Reactive Species Human | |
Human Gene ID 60489 | |
Product Grade ![]() | |
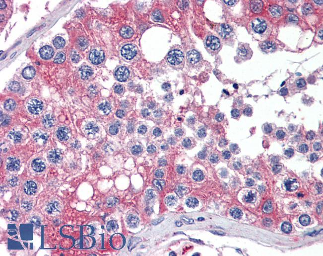
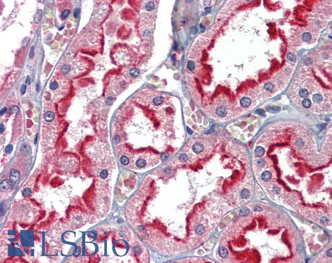
IHC Results Paraffin embedded Human Testis and Kidney. Recommended concentration: 2.5µg/ml. | |
ELISA Detection Limit Antibody detection limit dilution 1:16000. | |
Western Blot Approx. 45kDa band observed in lysates of cell line Daudi (calculated MW of 46.4kDa according to NP_068594.1). Recommended concentration: 0.5-1.5µg/ml. Primary incubation was 1 hour. | |
Application Type Pep-ELISA, WB, IHC |
Goat Anti-APOBEC3G Antibody
$431.00
| SKU | Unit Size | Price |
|---|---|---|
Select a unit size:
Documents |



