Formulation Supplied at 0.5 mg/ml in Tris saline, 0.02% sodium azide, pH7.3 with 0.5% bovine serum albumin.
| |
Unit Size 100 µg | |
Storage Instructions Aliquot and store at -20°C. Minimize freezing and thawing. | |
Synonym / Alias Names type I arginase|liver-type arginase|arginase 1|arginase, type I|A-I|HGNC:663|arginase, liver|ARG1 | |
Usage Summary Immunofluorescence: Strong expression of the protein seen in the cytoplasm of K562 cells. Recommended concentration: 10µg/ml. | |
Accession ID NP_000036.2; NP_001231367.1; NP_001355949.1 | |
Blocking Peptide EBP06795 | |
Immunogen Peptide with sequence CFGLAREGNHKPID, from the C Terminus of the protein sequence according to NP_000036.2; NP_001231367.1; NP_001355949.1. | |
Product Comments Please note that ARG1 is not expressed in Human M2 macrophages, but it is in other species (eg rodents). | |
Peptide Sequence CFGLAREGNHKPID | |
Purification Method Purified from goat serum by ammonium sulphate precipitation followed by antigen affinity chromatography using the immunizing peptide. | |
Shipping Instructions Refrigerated | |
Predicted Species Human, Dog, Cow, Pig | |
Reactive Species Human | |
Human Gene ID 383 | |
Mouse Gene ID 11846 | |
Rat Gene ID 29221 | |
Product Grade ![]() | |
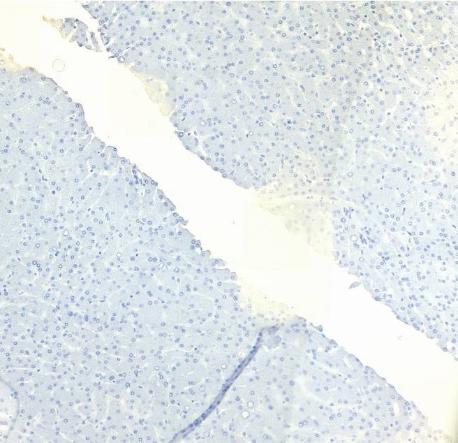
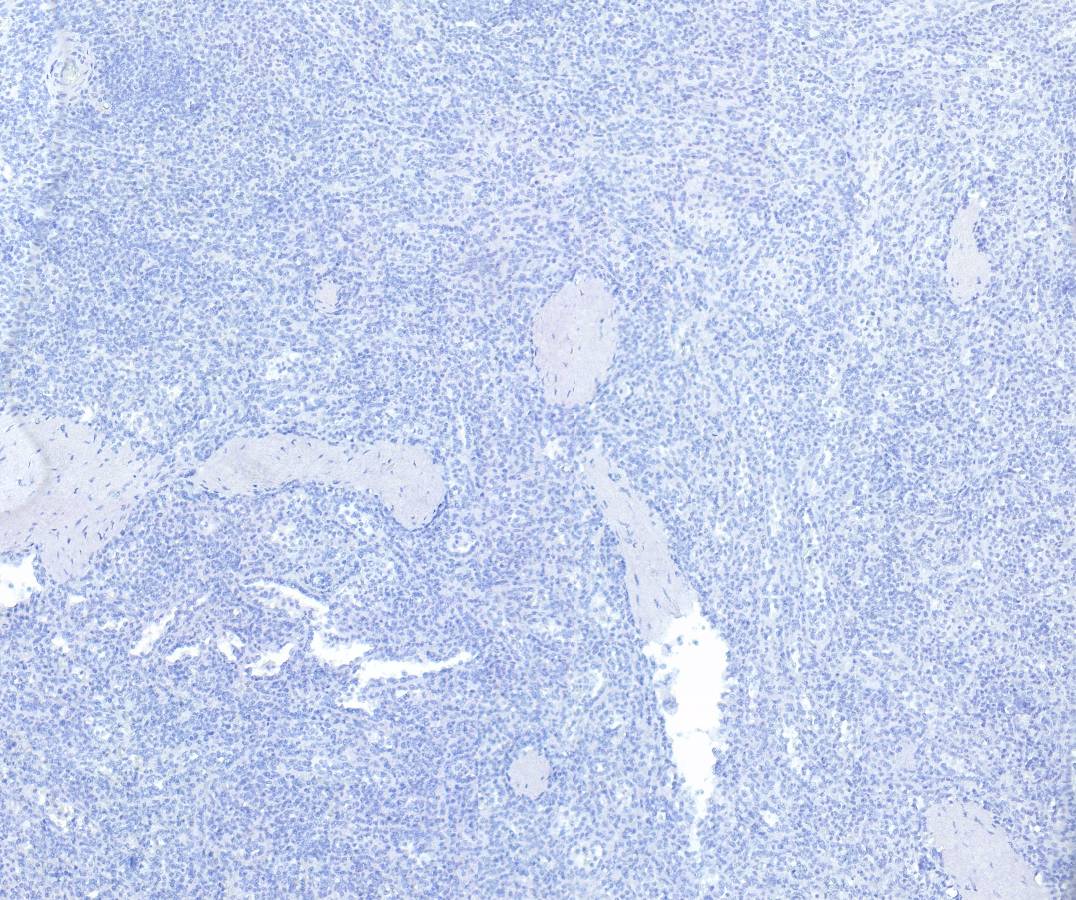
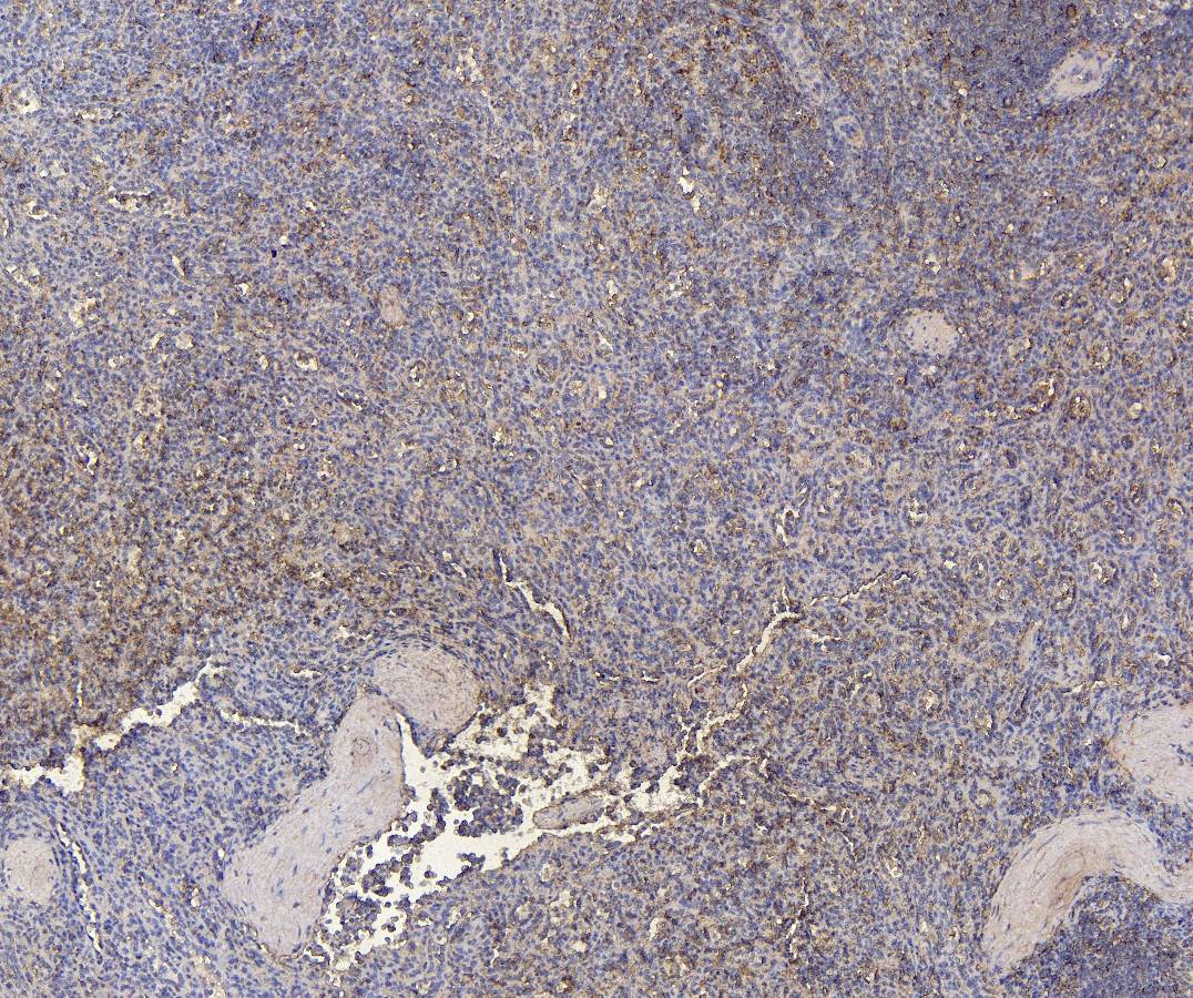
IHC Results Paraffin embedded Human Liver and Spleen. Recommended concentration: 4-5µg/ml. | |
ELISA Detection Limit Antibody detection limit dilution 1:4000. | |
Western Blot Approx.37kDa band observed in Human Liver lysates (calculated MW of 34.7kDa according to NP_000036.2) . Recommended concentration: 0.3-1µg/ml. Primary incubation 1 hour at room temperature. | |
Application Type Pep-ELISA, WB, IF, IHC |
Goat Anti-Arginase I Antibody
$431.00
| SKU | Unit Size | Price |
|---|---|---|
Select a unit size:
Documents |






