Formulation Supplied at 0.5 mg/ml in Tris saline, 0.02% sodium azide, pH7.3 with 0.5% bovine serum albumin.
| |
Unit Size 100 µg | |
Storage Instructions Aliquot and store at -20°C. Minimize freezing and thawing. | |
Synonym / Alias Names A-I|arginase, liver|arginase, type I|ARG1 | |
Usage Summary Immunofluorescence: Strong expression of the protein seen in the cytoplasm of HepG2 cells. Recommended concentration: 10µg/ml. | |
Accession ID NP_000036.2; NP_001231367.1; NP_001355949.1 | |
Blocking Peptide EBP07706 | |
Immunogen Peptide with sequence C-REGNHKPIDYLNPPK, from the C Terminus of the protein sequence according to NP_000036.2; NP_001231367.1; NP_001355949.1. | |
Product Comments Please note that ARG1 is not expressed in Human M2 macrophages, but it is in other species (eg rodents). | |
Peptide Sequence C-REGNHKPIDYLNPPK | |
Purification Method Purified from goat serum by ammonium sulphate precipitation followed by antigen affinity chromatography using the immunizing peptide. | |
Shipping Instructions Refrigerated | |
Predicted Species Human, Dog | |
Reactive Species Human | |
Human Gene ID 383 | |
Product Grade ![]() | |
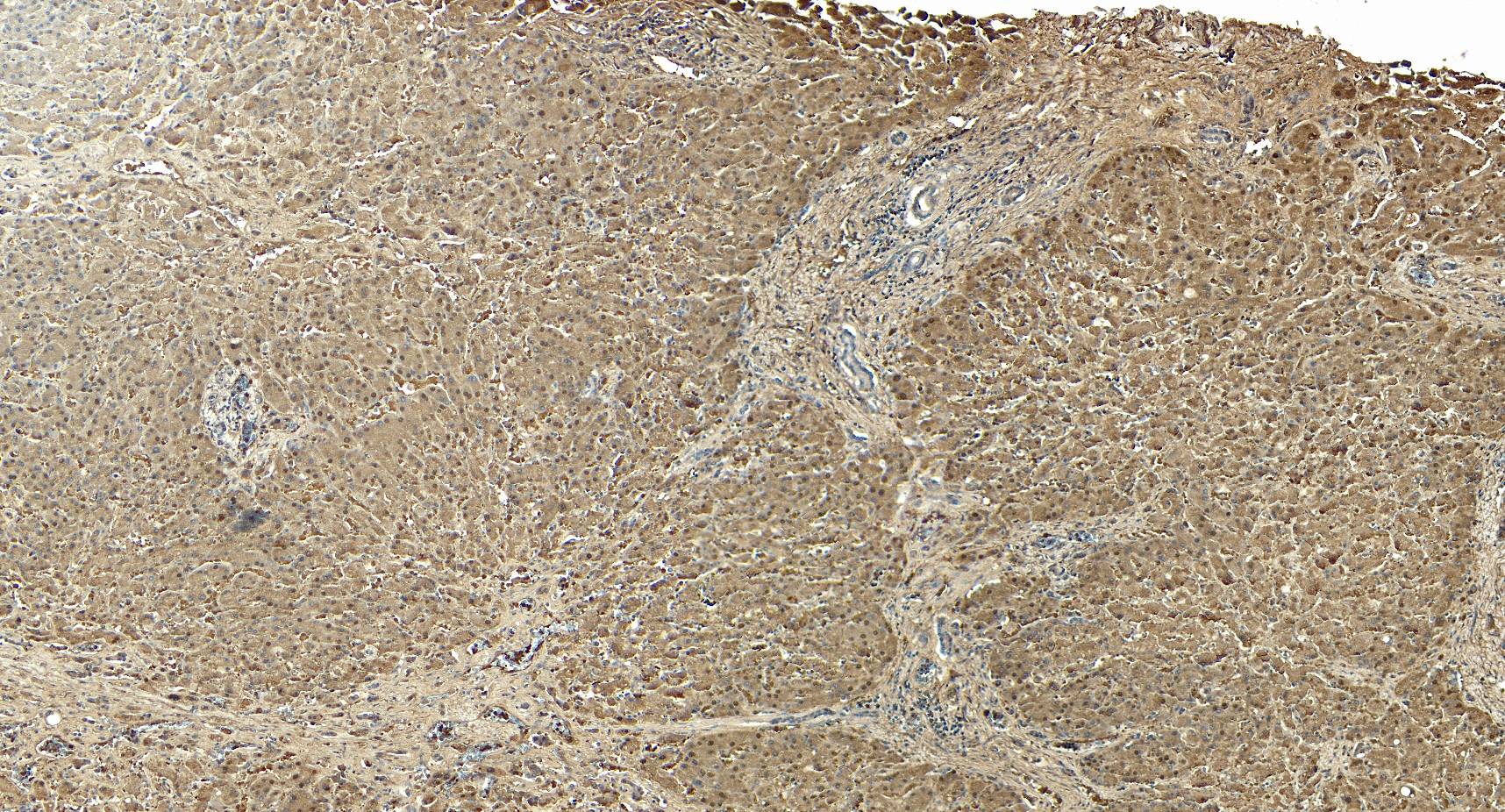
IHC Results Paraffin embedded Human Liver. Recommended concentration: 5-6µg/ml. | |
ELISA Detection Limit Antibody detection limit dilution 1:2000. | |
Western Blot Approx 37kDa band observed in Human Liver lysates (calculated MW of 34.7kDa according to NP_000036.2. Recommended concentration: 0.01-0.03µg/ml. Primary incubation 1 hour at room temperatuire. | |
Application Type Pep-ELISA, WB, IHC, IF |
Goat Anti-Arginase, type 1 / ARG1 Antibody
$431.00
| SKU | Unit Size | Price |
|---|---|---|
Select a unit size:
Documents |




