Formulation Supplied at 0.5 mg/ml in Tris saline, 0.02% sodium azide, pH7.3 with 0.5% bovine serum albumin.
| |
Unit Size 100 µg | |
Storage Instructions Aliquot and store at -20°C. Minimize freezing and thawing. | |
Synonym / Alias Names ARHGDIB|RhoGDI2|Rho GDP-dissociation inhibitor 2|Rho GDP dissociation inhibitor (GDI) beta|Rho GDI 2|RAP1GN1|Ly-GDI|LYGDI|GDID4|GDIA2|D4 | |
Usage Summary Immunofluorescence: Strong expression of the protein seen in the cytoplasm of A431 cells. Recommended concentration: 10µg/ml.
Flow Cytometry: Flow cytometric analysis of A431 cells. Recommended concentration: 10ug/ml. | |
Accession ID NP_001166.3 | |
Blocking Peptide EBP10223 | |
Immunogen Peptide with sequence TEKAPEPHVE-C, from the N Terminus of the protein sequence according to NP_001166.3. | |
Peptide Sequence TEKAPEPHVE-C | |
Purification Method Purified from goat serum by ammonium sulphate precipitation followed by antigen affinity chromatography using the immunizing peptide. | |
Shipping Instructions Refrigerated | |
Predicted Species Human, Cow | |
Reactive Species Human | |
Human Gene ID 397 | |
Product Grade ![]() | |
ELISA Detection Limit Antibody detection limit dilution 1:4000. | |
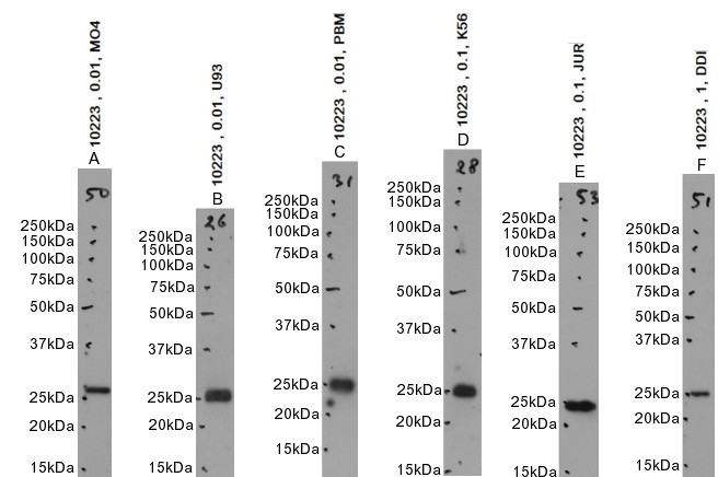
Western Blot Approx. 25kDa band observed in lysates of cell lines Daudi, Jurkat, K562, U937, peripheral blood Monocytes (PBM) and in Human Thymus and Cerebellum lysates, and approx. 26kDa in lysates of cell line MOLT4 (calculated MW of 23.0kDa according to NP_001166.3). Recommended concentration: 0.01-3µg/ml. Primary incubation 1 hour at room temperature. | |
Application Type Pep-ELISA, WB, IF, FC |
Goat Anti-ARHGDIB Antibody
$464.00
| SKU | Unit Size | Price |
|---|---|---|
Select a unit size:
Documents |




