Formulation Supplied at 0.5 mg/ml in Tris saline, 0.02% sodium azide, pH7.3 with 0.5% bovine serum albumin.
| |
Unit Size 100 µg | |
Storage Instructions Aliquot and store at -20°C. Minimize freezing and thawing. | |
Synonym / Alias Names ARHGDIG|RHOGDI-3|RhoGDI gamma|Rho GDP dissociation inhibitor (GDI) gamma | |
Accession ID NP_001167.2 | |
Blocking Peptide EBP10227 | |
Immunogen Peptide with sequence C-EAVPEYRAPGRK, from the C Terminus of the protein sequence according to NP_001167.2. | |
Peptide Sequence C-EAVPEYRAPGRK | |
Purification Method Purified from goat serum by ammonium sulphate precipitation followed by antigen affinity chromatography using the immunizing peptide. | |
Shipping Instructions Refrigerated | |
Predicted Species Human, Mouse, Rat, Dog, Cow | |
Reactive Species Human | |
Human Gene ID 398 | |
Mouse Gene ID 14570 | |
Rat Gene ID 360500 | |
Product Grade ![]() | |
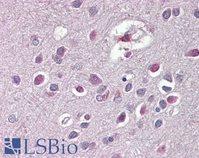
IHC Results Paraffin embedded Human Brain (Cortex). Recommended concentration: 3.75µg/ml. | |
ELISA Detection Limit Antibody detection limit dilution 1:16000. | |
Western Blot Approx 25kDa band observed in lysates of cell line HeLa (calculated MW of 25.1kDa according to NP_001167.2). Recommended concentration: 0.5-2µg/ml. Primary incubation was 1 hour. | |
Application Type Pep-ELISA, WB, IHC |
Goat Anti-ARHGDIG Antibody
$431.00
| SKU | Unit Size | Price |
|---|---|---|
Select a unit size:
Documents |


