Formulation Supplied at 0.5 mg/ml in Tris saline, 0.02% sodium azide, pH7.3 with 0.5% bovine serum albumin.
| |
Unit Size 100 µg | |
Storage Instructions Aliquot and store at -20°C. Minimize freezing and thawing. | |
Synonym / Alias Names ARMS2|ARMD8|age-related maculopathy susceptibility 2 | |
Accession ID NP_001093137.1 | |
Blocking Peptide EBP09904 | |
Immunogen Peptide with sequence C-EGASDKQRSK, from the internal region of the protein sequence according to NP_001093137.1. | |
Peptide Sequence C-EGASDKQRSK | |
Purification Method Purified from goat serum by ammonium sulphate precipitation followed by antigen affinity chromatography using the immunizing peptide. | |
Shipping Instructions Refrigerated | |
Predicted Species Human | |
Reactive Species Human | |
Human Gene ID 387715 | |
Product Grade ![]() | |
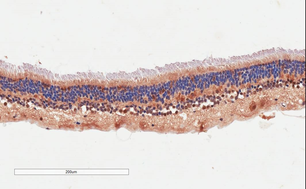
IHC Results In paraffin embedded Human Retina shows cytoplasm staining throughout. Recommended concentration: 2-4µg/ml. | |
ELISA Detection Limit Antibody detection limit dilution 1:4000. | |
Western Blot Not yet tested - our routinely used western blotting protocol does not allow detection of proteins as small as the calculated size of 11.4kDa according to NP_001093137.1. Therefore we cannot recommend an optimal concentration. | |
Application Type Pep-ELISA, IHC |
Goat Anti-ARMS2 Antibody
$431.00
| SKU | Unit Size | Price |
|---|---|---|
Select a unit size:
Documents |


