Formulation Supplied at 0.5 mg/ml in Tris saline, 0.02% sodium azide, pH7.3 with 0.5% bovine serum albumin.
| |
Unit Size 100 µg | |
Storage Instructions Aliquot and store at -20°C. Minimize freezing and thawing. | |
Synonym / Alias Names microsomal monooxygenase|flavoprotein-linked monooxygenase|estrogen synthetase|cytochrome P450, subfamily XIX (aromatization of androgens)|aromataseN: cytochrome P450, family 19|P-450AROM|MGC104309|CYP19|CYAR|CPV1|ARO1|ARO|cytochrome P450, family 19, subfamily A, polypeptide 1|CYP19A1 | |
Accession ID NP_000094.2; NP_112503.1 | |
Blocking Peptide EBP08329 | |
Immunogen Peptide with sequence C-HDLSLHPDETKN, from the internal region of the protein sequence according to NP_000094.2; NP_112503.1. | |
Product Comments This antibody is expected to recognise both reported isoforms (NP_000094.2 and NP_112503.1), which are identical | |
Peptide Sequence C-HDLSLHPDETKN | |
Purification Method Purified from goat serum by ammonium sulphate precipitation followed by antigen affinity chromatography using the immunizing peptide. | |
Shipping Instructions Refrigerated | |
Predicted Species Human | |
Reactive Species Human | |
Human Gene ID 1588 | |
Product Grade ![]() | |
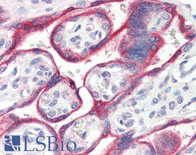
IHC Results Paraffin embedded Human Placenta. Recommended concentration: 4µg/ml. | |
ELISA Detection Limit Antibody detection limit dilution 1:128000. | |
Western Blot Approx 50-55kDa band observed in Human Placenta lysates (calculated MW of 57.9kDa according to NP_000094.2 and NP_112503.1). Recommended concentration: 0.1-0.3µg/ml. Primary incubation was 1 hour. | |
Application Type Pep-ELISA, WB, IHC |
Goat Anti-Aromatase / CYP19A1 Antibody
$431.00
| SKU | Unit Size | Price |
|---|---|---|
Select a unit size:
Documents |


