Formulation Supplied at 0.5 mg/ml in Tris saline, 0.02% sodium azide, pH7.3 with 0.5% bovine serum albumin.
| |
Unit Size 100 µg | |
Storage Instructions Aliquot and store at -20°C. Minimize freezing and thawing. | |
Synonym / Alias Names cerebroside 3-sulfatase|cerebroside-sulfatase|MLD|arylsulfatase A|ARSA | |
Usage Summary Immunofluorescence: Strong expression of the protein seen in the Golgi apparatus of HeLa cells. Recommended concentration: 10µg/ml.
Flow Cytometry: Flow cytometric analysis of HeLa cells. Recommended concentration: 10ug/ml. | |
Accession ID NP_000478.3; NP_001078897.1 | |
Blocking Peptide EBP07457 | |
Immunogen Peptide with sequence C-YDLSKDPGENYN, from the internal region of the protein sequence according to NP_000478.3; NP_001078897.1. | |
Peptide Sequence C-YDLSKDPGENYN | |
Purification Method Purified from goat serum by ammonium sulphate precipitation followed by antigen affinity chromatography using the immunizing peptide. | |
Shipping Instructions Refrigerated | |
Predicted Species Human, Mouse, Rat | |
Reactive Species Human, Mouse, Rat | |
Human Gene ID 410 | |
Mouse Gene ID 11883 | |
Rat Gene ID 315222 | |
Product Grade ![]() | |
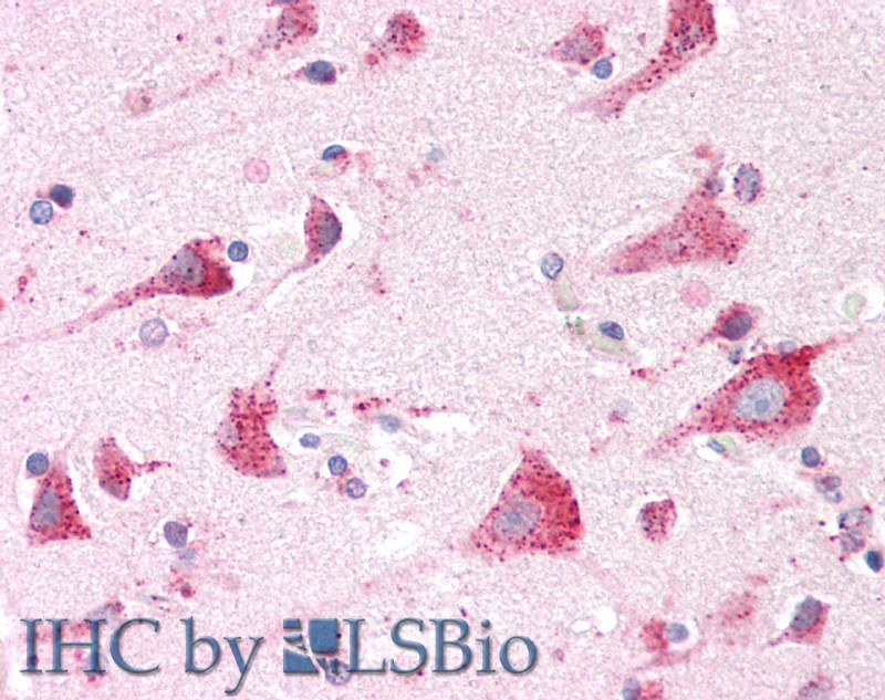
IHC Results Paraffin embedded Human Brain (Cortex) and Testis. Recommended concentration: 5µg/ml. | |
ELISA Detection Limit Antibody detection limit dilution 1:32000. | |
Western Blot Approx 60-65Da band observed in Mouse and Rat Testis lysates (calculated MW of 53.7kDa according to Mouse NP_033843.2 and Rat NP_001030105.2;). This molecular weight is routinely observed by other sources and was successfully blocked by incubation with the immunizing peptide. Recommended concentration:0.3-1µg/ml. Primary incubation 1 hour at room temperature. | |
Application Type Pep-ELISA, WB, IHC, IF, FC |
Goat Anti-Arylsulfatase A Antibody
$431.00
| SKU | Unit Size | Price |
|---|---|---|
Select a unit size:
Selected References [{"pmid": 22645601, "intro": "This antibody has been successfully used in WB on Mouse in the following paper:", "title": "Hepatic Cerebroside Sulfotransferase Is Induced by PPAR? Activation in Mice.", "author": "Kimura T, Nakajima T, Kamijo Y, Tanaka N, Wang L, Hara A, Sugiyama E, Tanaka E, Gonzalez FJ, Aoyama T", "journal": "PPAR Res. 2012;2012:174932."}, {"pmid": 30341732, "intro": "This antibody has been successfully used in WB on Mouse:", "title": "Peroxisome proliferator-activated receptor ? attenuates high-cholesterol diet-induced toxicityand pro-thrombotic effects in mice.", "author": "Lu Y, Harada M, Kamijo Y, Nakajima T, Tanaka N, Sugiyama E, Kyogashima M, Gonzalez FJ, Aoyama T", "journal": "Arch Toxicol. 2019 Jan;93(1):149-161"}, {"pmid": 24065054, "intro": "This antibody has been successfully used in the following paper:", "title": "Chronic ethanol consumption decreases serum sulfatide levels by suppressing hepatic cerebroside sulfotransferase expression in mice.", "author": "Kanbe H, Kamijo Y, Nakajima T, Tanaka N, Sugiyama E, Wang L, Fang ZZ, Hara A, Gonzalez FJ, Aoyama T", "journal": "Arch Toxicol. 2014 Feb;88(2):367-79."}, {"pmid": 30531843, "intro": "This antibody has been successfully used in Western blot on Mouse:", "title": "Effects of hypertension and antihypertensive treatments on sulfatidelevels in serum and its metabolism", "author": "Guo R, Hu X, Yamada Y, Harada M, Nakajima T, Kashihara T, Yamada M, Aoyama T, Kamijo Y", "journal": "Hypertens Res. 2019 May;42(5):598-609."}, {"pmid": 19895791, "intro": "This antibody has been successfully used in the following paper:", "title": "Acute kidney injury induced by protein-overload nephropathy down-regulates gene expression of hepatic cerebroside sulfotransferase in mice, resulting in reduction of liver and serum sulfatides.", "author": "Zhang X, Nakajima T, Kamijo Y, Li G, Hu R, Kannagi R, Kyogashima M, Aoyama T, Hara A.", "journal": "Biochem Biophys Res Commun. 2009 Dec 25;390(4):1382-8."}, {"pmid": 22114039, "intro": "This antibody has been successfully used in WB on Mouse in the following paper:", "title": "Chronic caloric restriction attenuates a loss of sulfatide content in PGC-1?-/- mouse cortex: a potential lipidomic role of PGC-1? in neurodegeneration.", "author": "Kiebish MA, Young DM, Lehman JJ, Han X.", "journal": "J Lipid Res. 2012 Feb;53(2):273-81."}] |
Documents |





