Formulation Supplied at 0.5 mg/ml in Tris saline, 0.02% sodium azide, pH7.3 with 0.5% bovine serum albumin.
| |
Unit Size 100 µg | |
Storage Instructions Aliquot and store at -20°C. Minimize freezing and thawing. | |
Synonym / Alias Names N-acetylgalactosamine-4-sulfatase|MPS6|G4S|ASB|arylsulfatase B|ARSB | |
Accession ID NP_000037.2; NP_942002.1 | |
Blocking Peptide EBP08059 | |
Immunogen Peptide with sequence C-KLARGHTNGTKPLD, from the internal region of the protein sequence according to NP_000037.2; NP_942002.1. | |
Product Comments This antibody is expected to recognise both reported isoforms (NP_000037.2; NP_942002.1). | |
Peptide Sequence C-KLARGHTNGTKPLD | |
Purification Method Purified from goat serum by ammonium sulphate precipitation followed by antigen affinity chromatography using the immunizing peptide. | |
Shipping Instructions Refrigerated | |
Predicted Species Human | |
Reactive Species Human | |
Human Gene ID 411 | |
Product Grade ![]() | |
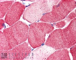
IHC Results In paraffin embedded Human Skeletal Muscle shows striated pattern staining of majority of muscular fibres. Recommended concentration, 5-10µg/ml. | |
ELISA Detection Limit Antibody detection limit dilution 1:64000. | |
Western Blot Approx 45kDa band observed in Human Heart lysates (calculated MW of 46.0kDa according to NP_942002.1). Recommended concentration: 0.03-0.1µg/ml.
An additional band of unknown identity was also consistently observed at 35kDa. This band was successfully blocked by incubation with the immunising peptide. We would appreciate any feedback from people in the field - have any such results been reported with other antibodies/lysates? Have any further splice variants/modified forms been reported? | |
Application Type Pep-ELISA, WB, IHC |
Goat Anti-Arylsulfatase B Antibody
$431.00
| SKU | Unit Size | Price |
|---|---|---|
Select a unit size:
Documents |


