Formulation Supplied at 0.5 mg/ml in Tris saline, 0.02% sodium azide, pH7.3 with 0.5% bovine serum albumin.
| |
Unit Size 100 µg | |
Storage Instructions Aliquot and store at -20°C. Minimize freezing and thawing. | |
Synonym / Alias Names TMS-1|target of methylation-induced silencing-1|caspase recruitment domain protein 5|apoptosis-associated speck-like protein containing a CARD|TMS|MGC10332|CARD5|PYD and CARD domain containing|TMS1|ASC|PYCARD | |
Accession ID NP_037390.2; NP_660183.1 | |
Blocking Peptide EBP05291 | |
Immunogen Peptide with sequence C-RESQSYLVEDLERS, from the C Terminus of the protein sequence according to NP_037390.2; NP_660183.1. | |
Product Comments This antibody is expected to recognise both reported isoforms (NP_037390.2 and NP_660183.1). | |
Peptide Sequence C-RESQSYLVEDLERS | |
Purification Method Purified from goat serum by ammonium sulphate precipitation followed by antigen affinity chromatography using the immunizing peptide. | |
Shipping Instructions Refrigerated | |
Predicted Species Human | |
Reactive Species Human | |
Human Gene ID 29108 | |
Product Grade ![]() | |
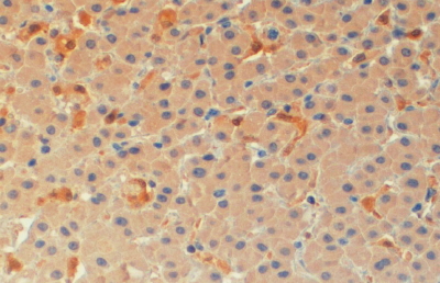
IHC Results In paraffin embedded Human Liver shows staining of sinusoidal lining cells. Recommended concentration: 4-6µg/ml. | |
ELISA Detection Limit Antibody detection limit dilution 1:16000. | |
Western Blot Approx 19kDa band observed in lysates of cell line HeLa (calculated MW of 20.0kDa according to NP_660183.1). Recommended concentration: 0.2-0.6µg/ml. Primary incubation was 1 hour. | |
Application Type Pep-ELISA, WB, IHC |
Goat Anti-ASC / TMS1 Antibody
$431.00
| SKU | Unit Size | Price |
|---|---|---|
Select a unit size:
Documents |


