Formulation Supplied at 0.5 mg/ml in Tris saline, 0.02% sodium azide, pH7.3 with 0.5% bovine serum albumin.
| |
Unit Size 100 µg | |
Storage Instructions Aliquot and store at -20°C. Minimize freezing and thawing. | |
Synonym / Alias Names ATG16|autophagy related 16-like 1 (S. cerevisiae)|hCG_1817841|APG16L|ATG16L|FLJ00045|FLJ10035|FLJ10828|FLJ22677|WDR30|APG16 autophagy 16-like|APG16L beta|ATG16 autophagy related 16-like protein 1|WD repeat domain 30 | |
Accession ID NP_110430.5; NP_060444.3 | |
Blocking Peptide EBP07893 | |
Immunogen Peptide with sequence C-KVEKVLSKQHSSSIN, from the internal region (near the C Terminus) of the protein sequence according to NP_110430.5; NP_060444.3. | |
Product Comments This antibody is expected to recognise both reported isoforms (NP_110430.5 and NP_060444.3). | |
Peptide Sequence C-KVEKVLSKQHSSSIN | |
Purification Method Purified from goat serum by ammonium sulphate precipitation followed by antigen affinity chromatography using the immunizing peptide. | |
Shipping Instructions Refrigerated | |
Predicted Species Human, Mouse, Rat, Dog | |
Reactive Species Mouse, Human | |
Human Gene ID 55054 | |
Product Grade ![]() | |
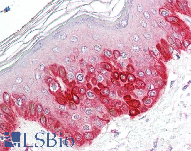
IHC Results Paraffin embedded Human Skin. Recommended concentration: 3.75µg/ml. | |
ELISA Detection Limit Antibody detection limit dilution 1:32000. | |
Western Blot Approx 65kDa band observed in Mouse Brain lysates (calculated MW of 68.1kDa according to Mouse NP_084122.2). Recommended concentration: 0.01-0.1µg/ml. Primary incubation was 1 hour. | |
Application Type Pep-ELISA, WB, IHC |
Goat Anti-ATG16L1 Antibody
$431.00
| SKU | Unit Size | Price |
|---|---|---|
Select a unit size:
Documents |


