Formulation Supplied at 0.5 mg/ml in Tris saline, 0.02% sodium azide, pH7.3 with 0.5% bovine serum albumin.
| |
Unit Size 100 µg | |
Storage Instructions Aliquot and store at -20°C. Minimize freezing and thawing. | |
Synonym / Alias Names triglyceride hydrolase|transport-secretion protein 2.2|pigment epithelium-derived factor|adipose triglyceride lipase|TTS2|TTS-2.2|PEDF-R|FP17548|DKFZp667M109|1110001C14Rik|patatin-like phospholipase domain containing 2|PNPLA2|DESNUTRIN|ATGL | |
Accession ID NP_065109.1 | |
Blocking Peptide EBP07671 | |
Immunogen Peptide with sequence C-NIIEVSKEARKR, from the internal region of the protein sequence according to NP_065109.1. | |
Product Comments Pease note this antibody was designed using the Mouse sequence NP_080078.1, which differs by 2 amino acids from the Human sequence NP_065109.1. | |
Peptide Sequence C-NIIEVSKEARKR | |
Purification Method Purified from goat serum by ammonium sulphate precipitation followed by antigen affinity chromatography using the immunizing peptide. | |
Shipping Instructions Refrigerated | |
Predicted Species Human, Mouse, Rat, Dog, Pig, Cow | |
Reactive Species Human | |
Human Gene ID 57104 | |
Mouse Gene ID 66853 | |
Rat Gene ID 361676 | |
Product Grade ![]() | |
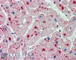
IHC Results In paraffin embedded Human Heart shows intense staining of distinct spots in the myocardial fibres in transverse section. Recommended concentration: 2-3µg/ml. | |
ELISA Detection Limit Antibody detection limit dilution 1:32000. | |
Western Blot Approx 60kDa band observed in Human Adipose lysates (calculated MW of 55.3kDa according to NP_065109.1). Recommended concentration: 0.5-2µg/ml. Primary incubation was 1 hour. Preliminary testing was unsuccessful on Rat Testis for this particular batch. | |
Application Type Pep-ELISA, WB, IHC |
Goat Anti-ATGL / Desnutrin Antibody
$431.00
| SKU | Unit Size | Price |
|---|---|---|
Select a unit size:
Documents |


