Formulation Supplied at 0.5 mg/ml in Tris saline, 0.02% sodium azide, pH7.3 with 0.5% bovine serum albumin.
| |
Unit Size 100 µg | |
Storage Instructions Aliquot and store at -20°C. Minimize freezing and thawing. | |
Synonym / Alias Names mammary-derived growth inhibitor-related|brain lipid binding protein|MRG|FABPB|DKFZp547J2313|BLBP|B-FABP|fatty acid binding protein 7, brain|FABP7 | |
Accession ID NP_001437.1 | |
Blocking Peptide EBP09274 | |
Immunogen Peptide with sequence C-KETNFVREIKD, from the C Terminus of the protein sequence according to NP_001437.1. | |
Peptide Sequence C-KETNFVREIKD | |
Purification Method Purified from goat serum by ammonium sulphate precipitation followed by antigen affinity chromatography using the immunizing peptide. | |
Shipping Instructions Refrigerated | |
Predicted Species Human, Cow, Pig | |
Reactive Species Human | |
Human Gene ID 2173 | |
Product Grade ![]() | |
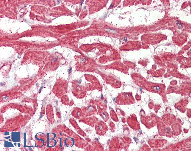
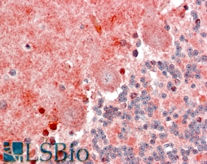
IHC Results Paraffin embedded Human Brain (Cerebellum), Skeletal Muscle and Heart. Recommended concentration: 2.5g/ml. | |
ELISA Detection Limit Antibody detection limit dilution 1:16000. | |
Application Type Pep-ELISA, IHC |
Goat Anti-B-FABP/ BLBP Antibody
$431.00
| SKU | Unit Size | Price |
|---|---|---|
Select a unit size:
Documents |



