Goat Anti-BAIAP2 (isoform 1) Antibody

$431.00

SKU Unit Size Price

Select a unit size:


SKU: EB05177
Formulation
Supplied at 0.5 mg/ml in Tris saline, 0.02% sodium azide, pH7.3 with 0.5% bovine serum albumin.
Unit Size
100 µg
Storage Instructions
Aliquot and store at -20°C. Minimize freezing and thawing.
Synonym / Alias Names
insulin receptor substrate p53/p58|insulin receptor substrate p53|fas ligand-associated factor 3|brain-specific angiogenesis inhibitor 1-associated protein 2|FLAF3|IRSP53|BAP2|BAI1-associated protein 2|BAIAP2
Accession ID
NP_059344.1
Blocking Peptide
EBP05177
Immunogen
Peptide with sequence C-SGSGTLVSTV, from the C Terminus of the protein sequence according to NP_059344.1.
Product Comments
This antibody is expected to recognise only human isoform 1 according to NP_059344.1.
Peptide Sequence
C-SGSGTLVSTV
Purification Method
Purified from goat serum by ammonium sulphate precipitation followed by antigen affinity chromatography using the immunizing peptide.
Shipping Instructions
Refrigerated
Predicted Species
Human, Mouse, Rat
Reactive Species
Human
Human Gene ID
10458
Mouse Gene ID
108100
Rat Gene ID
117542
Product Grade
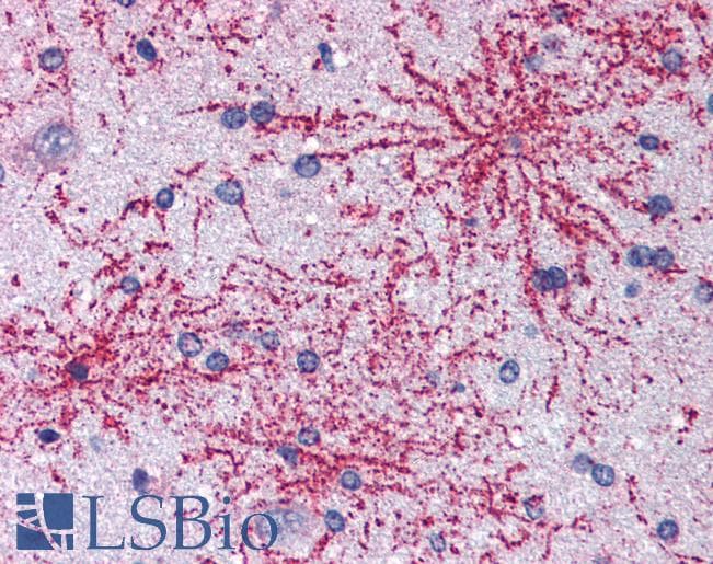
IHC Results
Paraffin embedded Human Brain (Cortex). Recommended concentration: 5µg/ml.
ELISA Detection Limit
Antibody detection limit dilution 1:64000.
Western Blot
Approx 60kDa band observed in Human Brain lysates (calculated MW of 57.4kDa according to NP_059344.1). Recommended for use at 1-3µg/ml.
Application Type
Pep-ELISA, WB, IHC
Documents