Formulation Supplied at 0.5 mg/ml in Tris saline, 0.02% sodium azide, pH7.3 with 0.5% bovine serum albumin.
| |
Unit Size 100 µg | |
Storage Instructions Aliquot and store at -20°C. Minimize freezing and thawing. | |
Synonym / Alias Names SIL1 protein|ULG5|MSS|SIL1 homolog, endoplasmic reticulum chaperone (S. cerevisiae)|BiP-associated protein|endoplasmic reticulum chaperone SIL1, homolog of yeast|BAP|SIL1 | |
Accession ID NP_071909.1; NP_001032722.1 | |
Blocking Peptide EBP06071 | |
Immunogen Peptide with sequence C-ELLGSVNSLLKELR, from the C Terminus of the protein sequence according to NP_071909.1; NP_001032722.1. | |
Product Comments Variants (NP_071909.1; NP_001032722.1) encode the same isoform. | |
Peptide Sequence C-ELLGSVNSLLKELR | |
Purification Method Purified from goat serum by ammonium sulphate precipitation followed by antigen affinity chromatography using the immunizing peptide. | |
Shipping Instructions Refrigerated | |
Predicted Species Human | |
Reactive Species Human | |
Human Gene ID 64374 | |
Product Grade ![]() | |
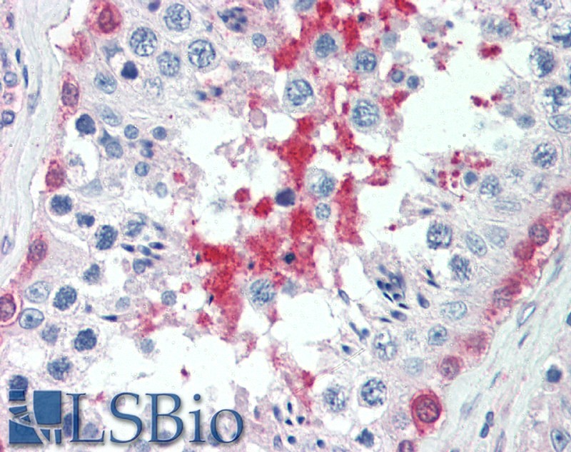
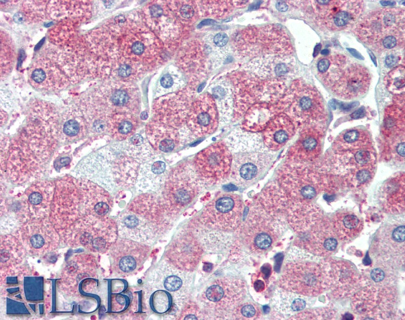
IHC Results Paraffin embedded Human Liver and Testis. Recommended concentration: 5µg/ml. | |
ELISA Detection Limit Antibody detection limit dilution 1:8000. | |
Western Blot Approx 55-60 kDa band observed in Human Liver and Kidney extracts (predicted MW of 53kDa according to NP_071909.1). Recommended concentration: 1-2µg/ml. | |
Application Type Pep-ELISA, WB, IHC |
Goat Anti-BAP / SIL1 Antibody
$431.00
| SKU | Unit Size | Price |
|---|---|---|
Select a unit size:
Documents |



