Formulation Supplied at 0.5 mg/ml in Tris saline, 0.02% sodium azide, pH7.3 with 0.5% bovine serum albumin.
| |
Unit Size 100 µg | |
Storage Instructions Aliquot and store at -20°C. Minimize freezing and thawing. | |
Synonym / Alias Names p28 Bap31|OTTHUMP00000025978|BCR-associated protein Bap31|6C6 antigen|CDM|B-cell receptor-associated protein 31|6C6-AG|CDM|accessory protein BAP31|DXS1357E|BAP31|BCAP31 | |
Accession ID NP_001132929.1; NP_005736.3 | |
Blocking Peptide EBP05397 | |
Immunogen Peptide with sequence C-QAAVDGPMDKKEE, from the C Terminus of the protein sequence according to NP_001132929.1; NP_005736.3. | |
Product Comments This antibody is expected to recognise isoform a (NP_001132929.1) and isoform b (NP_005736.3; NP_001132913.1). | |
Peptide Sequence C-QAAVDGPMDKKEE | |
Purification Method Purified from goat serum by ammonium sulphate precipitation followed by antigen affinity chromatography using the immunizing peptide. | |
Shipping Instructions Refrigerated | |
Predicted Species Human, Dog, Pig, Cow | |
Reactive Species Human | |
Human Gene ID 10134 | |
Product Grade ![]() | |
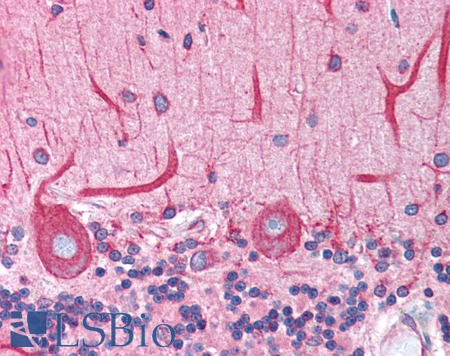
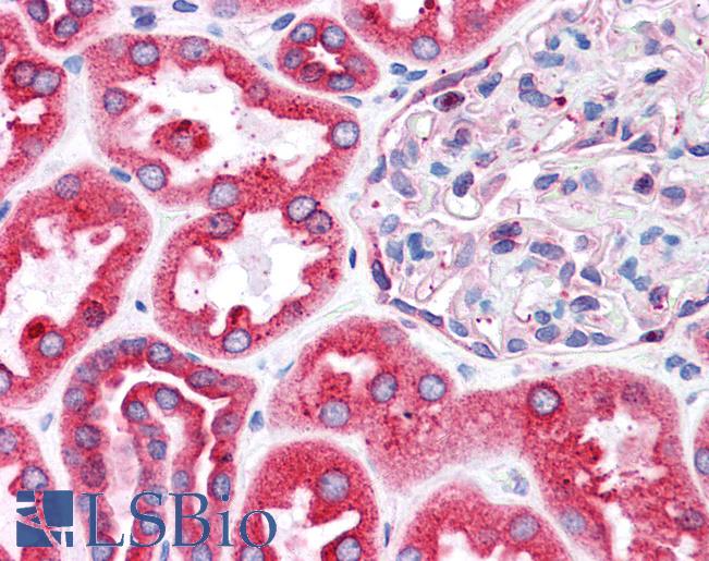
IHC Results Paraffin embedded Human Kidney and Brain (Cerebellum and Cortex). Recommended concentration: 3.75µg/ml. | |
ELISA Detection Limit Antibody detection limit dilution 1:32000. | |
Western Blot Approx 30kDa band observed in Human Placenta and Brain lysate (predicted MW of 28kDa according to NP_005736). Recommended for use at 1-3µg/ml. | |
Application Type Pep-ELISA, WB, IHC |
Goat Anti-BCAP31 / BAP31 Antibody
$431.00
| SKU | Unit Size | Price |
|---|---|---|
Select a unit size:
Documents |




